You have no items in your shopping cart.
HSPB6 Recombinant Mouse Monoclonal Antibody
Description
Research Area
Images & Validation
−| Tested Applications | IF, IHC-Fr, IHC-P, WB |
|---|---|
| Dilution Range | WB=1:500-1000, IHC-P=1:100-500, IHC-F=1:100-500, IF=1:100-500 |
| Reactivity | Human, Mouse |
| Predicted Reactivity | Rat |
Key Properties
−| Antibody Type | Primary Antibody |
|---|---|
| Host | Mouse |
| Clonality | Recombinant |
| Isotype | IgG1, Kappa |
| Clone No. | A5H2 |
| Target | HSPB6 |
| Molecular Weight | 17 kDa |
| Purification | Affinity purified by Protein G |
| Conjugation | Unconjugated |
Storage & Handling
−| Storage | Maintain refrigerated at 2-8°C for up to 2 weeks. For long term storage store at -20°C in small aliquots to prevent freeze-thaw cycles. |
|---|---|
| Form/Appearance | Liquid |
| Buffer/Preservatives | 0.01M TBS (pH7.4) with 1% rAlbumin, 0.02% Proclin300 and 50% Glycerol. |
| Concentration | 1mg/ml |
| Expiration Date | 12 months from date of receipt. |
| Disclaimer | For research use only |
Alternative Names
−
Quality Guarantee
Explore bioreagents carefree to elevate your research. All our products are rigorously tested for performance. If a product does not perform as described on its datasheet, our scientific support team will provide expert troubleshooting, a prompt replacement, or a refund. For full details, please see our Terms & Conditions and Buying Guide. Contact us at support@biorbyt.com.

Blocking buffer: 5% NFDM/TBST, Primary ab Dilution: 1:1000, Primary ab incubation condition: 4°C overnight, Lysate: 1: Mouse muscle, 2: Rat heart, 3: C2C12, Protein loading quantity: 20 µg, Exposure time: 30 s, Predicted MW: 17 kDa, Observed MW: 17 kDa.

Tissue: Human skeletal muscle, Section type: Formalin fixed & Paraffin-embedded section, Retrieval method: High temperature and high pressure, Retrieval buffer: Tris/EDTA buffer, pH9.0 Primary ab Dilution: 1:100, Primary ab incubation condition: 1 hour at room temperature, Counter stain: Hematoxylin, Comment: Color brown is the positive signal for orb1172551.

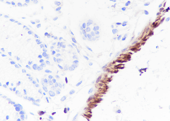
Tissue: Mouse colon, Section type: Formalin fixed & Paraffin-embedded section, Retrieval method: High temperature and high pressure, Retrieval buffer: Tris/EDTA buffer, pH9.0 Primary ab Dilution: 1:100, Primary ab incubation condition: 1 hour at room temperature, Counter stain: Hematoxylin, Comment: Color brown is the positive signal for orb1172551.

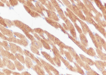
Tissue: Rat heart, Section type: Formalin fixed & Paraffin-embedded section, Retrieval method: High temperature and high pressure, Retrieval buffer: Tris/EDTA buffer, pH9.0 Primary ab Dilution: 1:100, Primary ab incubation condition: 1 hour at room temperature, Counter stain: Hematoxylin, Comment: Color brown is the positive signal for orb1172551.
Quick Database Links
Documents Download
Request a Document
Protocol Information
HSPB6 Recombinant Mouse Monoclonal Antibody (orb1172551)
Participating in our Biorbyt product reviews program enables you to support fellow scientists by sharing your firsthand experience with our products.
Login to Submit a Review