You have no items in your shopping cart.
HTT Antibody
Description
Images & Validation
−| Tested Applications | IF, IHC-Fr, IHC-P, WB |
|---|---|
| Dilution Range | WB:1:500-1:2,000, IF:1:500-1:2,000, IHC-P:1:500-1:2,000, IHC-F:1:500-1:2,000 |
| Reactivity | Bovine, Canine, Donkey, Equine, Feline, Gallus, Goat, Guinea pig, Hamster, Human, Mouse, Other, Porcine, Primate, Rabbit, Rat, Sheep |
| Application Notes |
Key Properties
−| Antibody Type | Primary Antibody |
|---|---|
| Host | Goat |
| Clonality | Polyclonal |
| Isotype | IgG |
| Immunogen | Antigen: Purified recombinant peptide derived from within residues 85 to 200 aa of human HTT produced in E. coli. Antigen Sequence: PLHRPKKELSATKKDRVNHCLTICENIVAQSVRNSPEFQKLLGIAMELFLLCSDDAESDVRMVADECLNKVIKALMDSNLPRLQLELYKEIKKNGAPRSLRAALWRFAEL |
| Target | Huntingtin |
| Purification | Epitope affinity purified |
| Conjugation | Unconjugated |
Storage & Handling
−| Storage | Maintain refrigerated at 2-8°C for up to 2 weeks. For long term storage store at -20°C in small aliquots to prevent freeze-thaw cycles. |
|---|---|
| Buffer/Preservatives | PBS, 20% glycerol and 0.05% sodium azide |
| Concentration | 1 mg/ml |
| Expiration Date | 12 months from date of receipt. |
| Disclaimer | For research use only |
Alternative Names
−Similar Products
−Huntingtin/HTT Rabbit Polyclonal Antibody [orb1819351]
ELISA, IHC
Human
Rabbit
Polyclonal
Unconjugated
100 μgSerotonin transporter Rabbit Polyclonal Antibody [orb13226]
IF, IHC-Fr, IHC-P, WB
Bovine, Canine, Gallus, Guinea pig, Human, Porcine, Sheep
Mouse, Rat
Rabbit
Polyclonal
Unconjugated
50 μl, 100 μl, 200 μl

Quality Guarantee
Explore bioreagents carefree to elevate your research. All our products are rigorously tested for performance. If a product does not perform as described on its datasheet, our scientific support team will provide expert troubleshooting, a prompt replacement, or a refund. For full details, please see our Terms & Conditions and Buying Guide. Contact us at support@biorbyt.com.

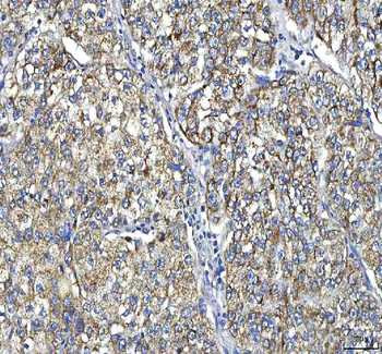
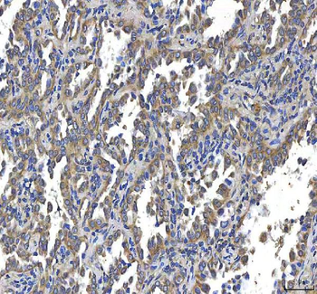
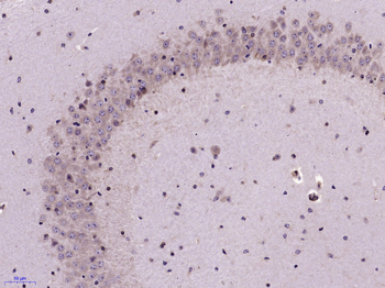
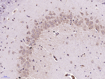
Immunohistochemical analysis of Rat LV using Huntingtin antibody.
Quick Database Links
Documents Download
Request a Document
Protocol Information
HTT Antibody (orb153341)
Participating in our Biorbyt product reviews program enables you to support fellow scientists by sharing your firsthand experience with our products.
Login to Submit a Review











