You have no items in your shopping cart.
IL10 Antibody (Center)
Description
Research Area
Images & Validation
−| Tested Applications | FC, IHC-P, WB |
|---|---|
| Dilution Range | WB: 1:1000, IHC-P: 1:10~50, FC: 1:10~50 |
| Reactivity | Human |
| Predicted Reactivity | Virus |
Key Properties
−| Antibody Type | Primary Antibody |
|---|---|
| Host | Rabbit |
| Clonality | Polyclonal |
| Isotype | Rabbit IgG |
| Clone No. | RB21234 |
| Target | This IL10 antibody is generated from rabbits immunized with a KLH conjugated synthetic peptide between 27-53 amino acids from the Central region of human IL10. |
| Molecular Weight | 20517 Da |
| Conjugation | Unconjugated |
Storage & Handling
−| Storage | Maintain refrigerated at 2-8°C for up to 2 weeks. For long term storage store at -20°C in small aliquots to prevent freeze-thaw cycles |
|---|---|
| Form/Appearance | Purified polyclonal antibody supplied in PBS with 0.09% (W/V) sodium azide. This antibody is purified through a protein A column, followed by peptide affinity purification. |
| Expiration Date | 12 months from date of receipt. |
| Disclaimer | For research use only |
Alternative Names
−Similar Products
−
Quality Guarantee
Explore bioreagents carefree to elevate your research. All our products are rigorously tested for performance. If a product does not perform as described on its datasheet, our scientific support team will provide expert troubleshooting, a prompt replacement, or a refund. For full details, please see our Terms & Conditions and Buying Guide. Contact us at support@biorbyt.com.

Western blot analysis of IL10 Antibody (Center) in MDA-MB435 cell line lysates (35 ug/lane). IL10 (arrow) was detected using the purified Pab.

IL10 Antibody (Center) flow cytometry analysis of Jurkat cells (bottom histogram) compared to a negative control (top histogram). FITC-conjugated goat-anti-rabbit secondary antibodies were used for the analysis.

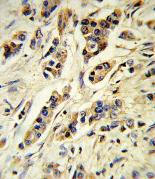
Formalin-fixed and paraffin-embedded human breast carcinoma reacted with IL10 Antibody (Center), which was peroxidase-conjugated to the secondary antibody, followed by DAB staining. This data demonstrates the use of this antibody for immunohistochemistry; clinical relevance has not been evaluated.
Quick Database Links
UniProt Details
−NCBI Reference Sequences
−| Protein | NP_000563.1 |
|---|
Documents Download
Request a Document
Protocol Information
IL10 Antibody (Center) (orb1928106)
Participating in our Biorbyt product reviews program enables you to support fellow scientists by sharing your firsthand experience with our products.
Login to Submit a Review


