You have no items in your shopping cart.
IL36G Antibody
Description
Research Area
Images & Validation
−| Tested Applications | ELISA, IHC, WB |
|---|---|
| Dilution range | WB: 1:500-1:1000; IHC: 1:20-1:200 |
| Reactivity | Human |
Key Properties
−| Antibody Type | Primary Antibody |
|---|---|
| Host | Rabbit |
| Clonality | Polyclonal |
| Isotype | IgG |
| Immunogen | interleukin 1 family, member 9 |
| Target | IL36G |
| Molecular Weight | 20kd |
| Purity | ≥95% as determined by SDS-PAGE |
| Purification | Immunogen affinity purified |
| Conjugation | Unconjugated |
Storage & Handling
−| Storage | Maintain refrigerated at 2-8°C for up to 2 weeks. For long term storage store at -20°C in small aliquots to prevent freeze-thaw cycles. |
|---|---|
| Form/Appearance | liquid |
| Disclaimer | For research use only |
Alternative Names
−Similar Products
−Human Interleukin 1 Family, Member 9 (IL1F9) ELISA Kit [orb779986]
Human
15.63-1000 pg/mL
6 pg/mL
96 T, 48 TMouse Interleukin 1 Family, Member 9 (IL1F9) ELISA Kit [orb781786]
Mouse
7.82-500 pg/mL
2.9 pg/mL
96 T, 48 T

Quality Guarantee
Explore bioreagents carefree to elevate your research. All our products are rigorously tested for performance. If a product does not perform as described on its datasheet, our scientific support team will provide expert troubleshooting, a prompt replacement, or a refund. For full details, please see our Terms & Conditions and Buying Guide. Contact us at support@biorbyt.com.

Transfected HEK-293 cells were subjected to SDS PAGE followed by western blot with orb395187 (IL1F9 Antibody) at dilution of 1:500.

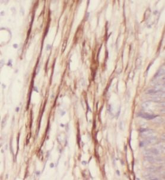
Immunohistochemistry of paraffin-embedded human colon cancer tissue slide using orb395187 (IL1F9 Antibody) at dilution of 1:50.
Quick Database Links
UniProt Details
−Documents Download
Request a Document
Protocol Information
IL36G Antibody (orb395187)
Participating in our Biorbyt product reviews program enables you to support fellow scientists by sharing your firsthand experience with our products.
Login to Submit a Review




