You have no items in your shopping cart.
IFN gamma Antibody
Description
Images & Validation
−| Tested Applications | IHC-P |
|---|---|
| Dilution range | Immunohistochemistry (FFPE): 1-2ug/ml for 30 min at RT |
| Reactivity | Human |
| Application Notes |
Key Properties
−| Antibody Type | Primary Antibody |
|---|---|
| Host | Mouse |
| Clonality | Monoclonal |
| Isotype | Mouse IgG2b, kappa |
| Clone No. | IFNG/466 |
| Immunogen | Human recombinant protein was used as the immunogen for the IFN gamma antibody. |
| Purification | Protein G affinity chromatography |
| Conjugation | Unconjugated |
Storage & Handling
−| Storage | Maintain refrigerated at 2-8°C for up to 2 weeks. For long term storage store at -20°C in small aliquots to prevent freeze-thaw cycles. |
|---|---|
| Disclaimer | For research use only |
Similar Products
−Sam68/KHDRBS1 Antibody [orb1743880]
ELISA, FC, ICC, IF, IHC, WB
Human, Mouse, Rat
Rabbit
Polyclonal
Unconjugated
100 μgIFN gamma Rabbit Polyclonal Antibody [orb501002]
FC, ICC, WB
Mouse, Rat
Human
Rabbit
Polyclonal
Unconjugated
100 μl, 50 μlIba1 antibody [orb555872]
FACS, ICC, IHC, IHC-Fr, IHC-P, WB
Human, Mouse, Rat
Rabbit
Polyclonal
Unconjugated
100 μlCytokeratin 5 Antibody (monoclonal, 5D3F7) [orb865590]
FC, ICC, IF, IHC, WB
Human
Mouse
Monoclonal
Unconjugated
100 μg

Quality Guarantee
Explore bioreagents carefree to elevate your research. All our products are rigorously tested for performance. If a product does not perform as described on its datasheet, our scientific support team will provide expert troubleshooting, a prompt replacement, or a refund. For full details, please see our Terms & Conditions and Buying Guide. Contact us at support@biorbyt.com.

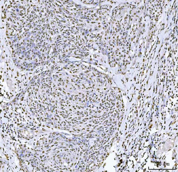
IHC testing of FFPE human renal cell carcinoma with IFN gamma antibody (clone IFNG/466). Required HIER: boil tissue sections in 10mM Tris with 1mM EDTA, pH9.0, for 10-20 min.

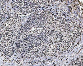
IHC testing of FFPE human renal cell carcinoma with IFN gamma antibody (clone IFNG/466). Required HIER: boil tissue sections in 10mM Tris with 1mM EDTA, pH9.0, for 10-20 min.

IHC testing of FFPE human testis with IFN gamma antibody (clone IFNG/466). Required HIER: boil tissue sections in 10mM Tris with 1mM EDTA, pH9.0, for 10-20 min.

SDS-PAGE Analysis of Purified, BSA-Free IFN gamma Antibody (clone IFNG/466). Confirmation of Integrity and Purity of the Antibody.
Quick Database Links
UniProt Details
−Documents Download
Request a Document
IFN gamma Antibody (orb2639890)
Participating in our Biorbyt product reviews program enables you to support fellow scientists by sharing your firsthand experience with our products.
Login to Submit a Review



















































