You have no items in your shopping cart.
IRS-1 (phospho Ser323) rabbit pAb Antibody
Description
Images & Validation
−| Tested Applications | ELISA, IF, IHC, WB |
|---|---|
| Dilution Range | Western Blot: 1/500 - 1/2000. Immunohistochemistry: 1/100 - 1/300. Immunofluorescence: 1/200 - 1/1000. ELISA: 1/10000. Not yet tested in other applications. |
| Reactivity | Human, Monkey, Mouse, Rat |
Key Properties
−| Clonality | Polyclonal |
|---|---|
| Isotype | IgG |
| Immunogen | The antiserum was produced against synthesized peptide derived from human IRS-1 around the phosphorylation site of Ser323. AA range:289-338 |
| Molecular Weight | 170 |
| Purification | The antibody was affinity-purified from rabbit antiserum by affinity-chromatography using epitope-specific immunogen. |
| Conjugation | Unconjugated |
Storage & Handling
−| Storage | Maintain refrigerated at 2-8°C for up to 2 weeks. For long term storage store at -20°C in small aliquots to prevent freeze-thaw cycles. |
|---|---|
| Buffer/Preservatives | PBS with 0.02% sodium azide and 50% glycerol pH 7.4. |
| Concentration | 1 mg/ml |
| Expiration Date | 12 months from date of receipt. |
| Disclaimer | For research use only |
Alternative Names
−Similar Products
−phospho-IRS1 (Ser323) Rabbit pAb, Pacific Blue conjugated [orb2847385]
FC, IF
Rabbit, Rat
Human, Mouse
Rabbit
Polyclonal
Pacific Blue
100 μlphospho-IRS1 (Ser323) Rabbit pAb, BF700 conjugated [orb2847386]
FC, IF
Rabbit, Rat
Human, Mouse
Rabbit
Polyclonal
BF700
100 μl

Quality Guarantee
Explore bioreagents carefree to elevate your research. All our products are rigorously tested for performance. If a product does not perform as described on its datasheet, our scientific support team will provide expert troubleshooting, a prompt replacement, or a refund. For full details, please see our Terms & Conditions and Buying Guide. Contact us at support@biorbyt.com.

Western blot analysis of 293T using p-IRS-1 (S323) antibody. Antibody was diluted at 1:1000.

Enzyme-Linked Immunosorbent Assay (Phospho-ELISA) for Immunogen Phosphopeptide (Phospho-left) and Non-Phosphopeptide (Phospho-right), using IRS-1 (Phospho-Ser323) Antibody.

Immunofluorescence analysis of HeLa cells, using IRS-1 (Phospho-Ser323) Antibody. The picture on the right is blocked with the phospho peptide.

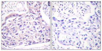
Immunohistochemistry analysis of paraffin-embedded human breast carcinoma, using IRS-1 (Phospho-Ser323) Antibody. The picture on the right is blocked with the phospho peptide.
Documents Download
Request a Document
Protocol Information
IRS-1 (phospho Ser323) rabbit pAb Antibody (orb768803)
Participating in our Biorbyt product reviews program enables you to support fellow scientists by sharing your firsthand experience with our products.
Login to Submit a Review