You have no items in your shopping cart.
JunD (Phospho-Ser255) Antibody
Description
Images & Validation
−| Tested Applications | IHC, WB |
|---|---|
| Reactivity | Human, Mouse, Rat |
Key Properties
−| Antibody Type | Primary Antibody |
|---|---|
| Host | Rabbit |
| Clonality | Polyclonal |
| Conjugation | Unconjugated |
Storage & Handling
−| Storage | Maintain refrigerated at 2-8°C for up to 2 weeks. For long term storage store at -20°C in small aliquots to prevent freeze-thaw cycles. |
|---|---|
| Expiration Date | 12 months from date of receipt. |
| Disclaimer | For research use only |
Similar Products
−JunD (Phospho-Ser255) Antibody [orb223044]
IHC, IP, WB
Human, Mouse, Rat
Rabbit
Polyclonal
Unconjugated
50 μg, 25 μg, 100 μg, 200 μgJunD (Phospho-Ser255) Rabbit mAb Antibody [orb1727734]
IP, WB
Human, Mouse, Rat
Rabbit
Monoclonal
Unconjugated
50 μl, 100 μlPhospho-JunD (Ser255) Rabbit Polyclonal Antibody (Biotin) [orb502390]
ELISA
Bovine, Canine, Gallus
Human
Rabbit
Polyclonal
Biotin
100 μlPhospho-JunD (Ser255) Rabbit Polyclonal Antibody (HRP) [orb504315]
ELISA
Bovine, Canine, Gallus
Human
Rabbit
Polyclonal
HRP
100 μlPhospho-JunD (Ser255) Rabbit Polyclonal Antibody [orb4925]
ELISA
Bovine, Canine, Gallus
Human
Rabbit
Polyclonal
Unconjugated
50 μl, 200 μl, 100 μl

Quality Guarantee
Explore bioreagents carefree to elevate your research. All our products are rigorously tested for performance. If a product does not perform as described on its datasheet, our scientific support team will provide expert troubleshooting, a prompt replacement, or a refund. For full details, please see our Terms & Conditions and Buying Guide. Contact us at support@biorbyt.com.

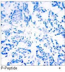
Immunohistochemical analysis of paraffin-embedded human breast carcinoma tissue using JunD (phospho- Ser255) antibody

Immunohistochemical analysis of paraffin-embedded human breast carcinoma tissue using JunD (phospho- Ser255) antibody

Western blot analysis of extracts from 293 cells using JunD (phospho-Ser255) antibody
Quick Database Links
UniProt Details
−Documents Download
Request a Document
Protocol Information
JunD (Phospho-Ser255) Antibody (orb14762)
Participating in our Biorbyt product reviews program enables you to support fellow scientists by sharing your firsthand experience with our products.
Login to Submit a Review


