You have no items in your shopping cart.
LAIR1 Antibody
SKU: orb519133
Description
Research Area
Immunology & Inflammation
Images & Validation
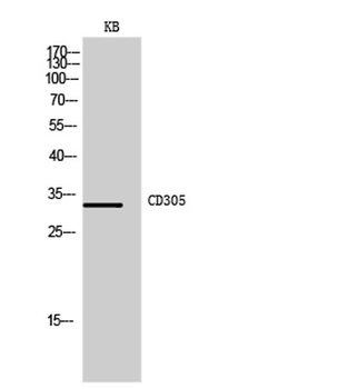
−Item 1 of 1
| Tested Applications | ELISA, IHC |
|---|---|
| Dilution Range | ELISA:1:500-1:1000, IHC-P:1:25-1:100 |
| Reactivity | Human |
Key Properties
−| Host | Rabbit |
|---|---|
| Clonality | Polyclonal |
| Isotype | IgG |
| Immunogen | Fusion protein of Human LAIR1 |
| Target | LAIR1 |
| Purification | Antigen Affinity Purified |
| Conjugation | Unconjugated |
Storage & Handling
−| Storage | Maintain refrigerated at 2-8°C for up to 2 weeks. For long term storage store at -20°C in small aliquots to prevent freeze-thaw cycles. |
|---|---|
| Form/Appearance | Liquid |
| Buffer/Preservatives | -20°C, pH7.4 PBS, 0.05% NaN3, 40% Glycerol |
| Expiration Date | 12 months from date of receipt. |
| Disclaimer | For research use only |
Alternative Names
−5133400O11Rik antibody; CD305 antibody; D7Bwg0421e antibody; hLAIR1 antibody; LAIR 1 antibody; LAIR-1 antibody; LAIR1 antibody; LAIR1 protein antibody; LAIR1_HUMAN antibody; Leukocyte associated Ig like receptor 1 antibody; Leukocyte associated immunoglobulin like receptor 1 antibody; Leukocyte-associated immunoglobulin-like receptor 1 antibody
Similar Products
−Human Leukocyte Associated Immunoglobulin Like Receptor 1 (LAIR1) ELISA Kit [orb777856]
Human
0.32-20 ng/mL
0.124 ng/mL
48 T, 96 TCD305 rabbit pAb Antibody [orb767239]
ELISA, WB
Human, Mouse, Rat
Polyclonal
Unconjugated
100 μl, 50 μl

Quality Guarantee
Explore bioreagents carefree to elevate your research. All our products are rigorously tested for performance. If a product does not perform as described on its datasheet, our scientific support team will provide expert troubleshooting, a prompt replacement, or a refund. For full details, please see our Terms & Conditions and Buying Guide. Contact us at support@biorbyt.com.

Immunohistochemistry of paraffin-embedded Human lung cancer tissue using LAIR1 antibody
Quick Database Links
Gene Symbol
LAIR1
UniProt
UniProt Details
− No UniProt data available
Documents Download
Datasheet
Product Information
Request a Document
Protocol Information
IHC
Immunohistochemistry
ELISA
Enzyme-linked Immunosorbent Assay (EIA)
LAIR1 Antibody (orb519133)
Based on 0 reviews
Participating in our Biorbyt product reviews program enables you to support fellow scientists by sharing your firsthand experience with our products.
Login to Submit a Review










