You have no items in your shopping cart.
LC3B Antibody
Description
Research Area
Images & Validation
−| Tested Applications | ELISA, IF, IHC, WB |
|---|---|
| Dilution range | WB: 1:500 - 1:2000; IHC: 1:50 - 1:200; IF: 1:50 - 1:200 |
| Reactivity | Human, Mouse, Rat |
Key Properties
−| Antibody Type | Primary Antibody |
|---|---|
| Host | Rabbit |
| Clonality | Polyclonal |
| Isotype | IgG |
| Immunogen | microtubule-associated protein 1 light chain 3 beta |
| Target | LC3B |
| Molecular Weight | 15 kDa |
| Purity | ≥95% as determined by SDS-PAGE |
| Purification | Immunogen affinity purified |
| Conjugation | Unconjugated |
Storage & Handling
−| Storage | Maintain refrigerated at 2-8°C for up to 2 weeks. For long term storage store at -20°C in small aliquots to prevent freeze-thaw cycles. |
|---|---|
| Form/Appearance | liquid |
| Disclaimer | For research use only |
Alternative Names
−Similar Products
−LC3 antibody [orb33328]
ICC, IF, IHC-P, WB
Bovine
Human, Mouse, Rat
Rabbit
Polyclonal
Unconjugated
100 μgMAP1LC3B Antibody [orb1274430]
IF, IHC, WB
Human, Mouse, Porcine, Rat
Rabbit
Polyclonal
Unconjugated
100 μlLC3B Rabbit mAb Antibody [orb1951302]
ICC, IF, IHC, IP, WB
Human, Mouse, Rat
Rabbit
Monoclonal
Unconjugated
100 μl, 50 μlLC3B Rabbit Polyclonal Antibody [orb6295]
IF, IHC-Fr, IHC-P
Bovine, Canine, Equine, Gallus, Human, Porcine, Zebrafish
Mouse, Rabbit, Rat
Rabbit
Polyclonal
Unconjugated
50 μl, 100 μl, 200 μl

Quality Guarantee
Explore bioreagents carefree to elevate your research. All our products are rigorously tested for performance. If a product does not perform as described on its datasheet, our scientific support team will provide expert troubleshooting, a prompt replacement, or a refund. For full details, please see our Terms & Conditions and Buying Guide. Contact us at support@biorbyt.com.

rat brain tissue were subjected to SDS PAGE followed by western blot with orb395265 (MAP1LC3B-Specific Antibody) at dilution of 1:1000.

Immunofluorescence analysis of U2OS cells using MAP1LC3B antibody (orb395265). Blue: DAPI for nuclear staining.

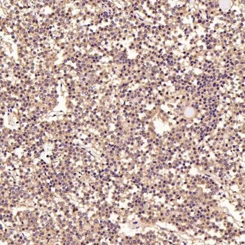
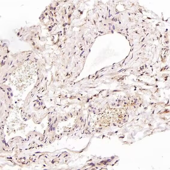
Immunohistochemistry of paraffin-embedded mouse brain using orb395265 (LC3B-Specific antibody) at dilution of 1:100.
Quick Database Links
UniProt Details
−Documents Download
Request a Document
Protocol Information
LC3B Antibody (orb395265)
Participating in our Biorbyt product reviews program enables you to support fellow scientists by sharing your firsthand experience with our products.
Login to Submit a Review















































