You have no items in your shopping cart.
LCP1 Antibody
Description
Images & Validation
−| Tested Applications | ELISA, IHC, IP, WB |
|---|---|
| Dilution range | WB: 1:500-1:2000; IP: 1:500-1:2000; IHC: 1:20-1:200 |
| Reactivity | Human, Mouse, Rat |
Key Properties
−| Antibody Type | Primary Antibody |
|---|---|
| Host | Rabbit |
| Clonality | Polyclonal |
| Isotype | IgG |
| Immunogen | lymphocyte cytosolic protein 1(L-plastin) |
| Target | LCP1 |
| Molecular Weight | 64-70 kDa |
| Purity | ≥95% as determined by SDS-PAGE |
| Purification | Immunogen affinity purified |
| Conjugation | Unconjugated |
Storage & Handling
−| Storage | Maintain refrigerated at 2-8°C for up to 2 weeks. For long term storage store at -20°C in small aliquots to prevent freeze-thaw cycles. |
|---|---|
| Form/Appearance | liquid |
| Disclaimer | For research use only |
Similar Products
−Plastin L/LCP1 Antibody [orb527031]
ELISA, FC, ICC, IF, IHC, WB
Human, Mouse, Rat
Rabbit
Polyclonal
Unconjugated
100 μgHuman Lymphocyte Cytosolic Protein 1 (LCP1) ELISA Kit [orb776715]
Human
0.16-10 ng/mL
0.057 ng/mL
48 T, 96 T

Quality Guarantee
Explore bioreagents carefree to elevate your research. All our products are rigorously tested for performance. If a product does not perform as described on its datasheet, our scientific support team will provide expert troubleshooting, a prompt replacement, or a refund. For full details, please see our Terms & Conditions and Buying Guide. Contact us at support@biorbyt.com.

Jurkat cells were subjected to SDS PAGE followed by western blot with orb395282 (LCP1 antibody) at dilution of 1:1000.

IP Result of anti-L-Plastin (IP: orb395282, 4 ug; Detection: orb395282 1:1000) with Jurkat cells lysate 2400 ug.

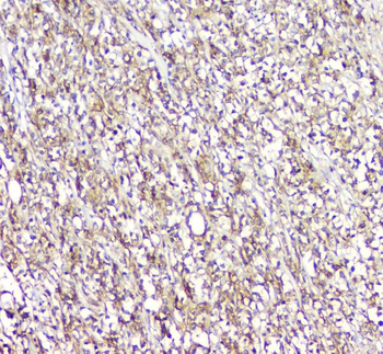
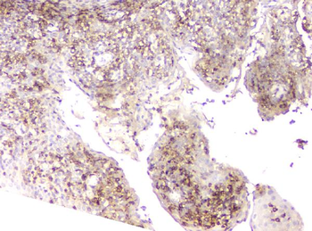
Immunohistochemistry of paraffin-embedded human lymphoma using orb395282 (LCP1 antibody) at dilution of 1:50.
Quick Database Links
UniProt Details
−Documents Download
Request a Document
Protocol Information
LCP1 Antibody (orb395282)
Participating in our Biorbyt product reviews program enables you to support fellow scientists by sharing your firsthand experience with our products.
Login to Submit a Review












