You have no items in your shopping cart.
LSD1 Antibody / Lysine-Specific Demethylase 1
Description
Images & Validation
−| Tested Applications | WB |
|---|---|
| Dilution Range | Western blot: 0.5-2ug/ml, Immunohistochemistry (FFPE): 5ug/ml |
| Reactivity | Human, Mouse |
| Application Notes |
Key Properties
−| Antibody Type | Primary Antibody |
|---|---|
| Host | Rabbit |
| Clonality | Polyclonal |
| Isotype | Rabbit IgG |
| Immunogen | A recombinant protein fragment from the N-terminal region of human LSD1 was used as the immunogen for this antibody. |
| Purification | Protein A affinity chromatography |
| Conjugation | Unconjugated |
Storage & Handling
−| Storage | Maintain refrigerated at 2-8°C for up to 2 weeks. For long term storage store at -20°C in small aliquots to prevent freeze-thaw cycles. |
|---|---|
| Buffer/Preservatives | 1X PBS, pH 7.4 |
| Disclaimer | For research use only |

Quality Guarantee
Explore bioreagents carefree to elevate your research. All our products are rigorously tested for performance. If a product does not perform as described on its datasheet, our scientific support team will provide expert troubleshooting, a prompt replacement, or a refund. For full details, please see our Terms & Conditions and Buying Guide. Contact us at support@biorbyt.com.

Western blot testing of human samples with LSD1 antibody at 0.5 ug/ml. Expected molecular weight ~110 kDa.

Western blot testing of mouse samples with LSD1 antibody at 0.5 ug/ml. Expected molecular weight ~110 kDa.

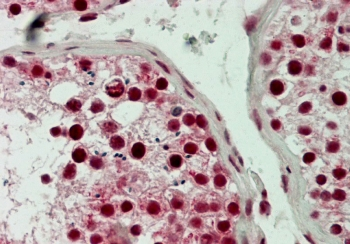
IHC testing of FFPE human testis tissue with LSD1 antibody at 5 ug/ml. HIER: steam tissue sections in pH6, 10mM citrate buffer, for 10-20 min followed by cooling at RT for 20 min.

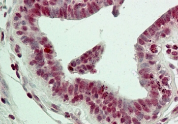
IHC testing of FFPE human breast tissue with LSD1 antibody at 5 ug/ml. HIER: steam tissue sections in pH6, 10mM citrate buffer, for 10-20 min followed by cooling at RT for 20 min.
Documents Download
Request a Document
LSD1 Antibody / Lysine-Specific Demethylase 1 (orb248156)
Participating in our Biorbyt product reviews program enables you to support fellow scientists by sharing your firsthand experience with our products.
Login to Submit a Review