You have no items in your shopping cart.
MDM2 (Phospho-Ser166) Antibody
Description
Research Area
Images & Validation
−| Tested Applications | IF, IHC, WB |
|---|---|
| Dilution Range | WB: 1:500-1:3000, IHC-P: 1:50-1:100, IF/ICC: 1:100-1:500, ELISA: 1:5000 |
| Reactivity | Human, Mouse |
Key Properties
−| Host | Rabbit |
|---|---|
| Clonality | Polyclonal |
| Immunogen | Internal |
| Conjugation | Unconjugated |
Storage & Handling
−| Storage | Maintain refrigerated at 2-8°C for up to 2 weeks. For long term storage store at -20°C in small aliquots to prevent freeze-thaw cycles. |
|---|---|
| Concentration | 1mg/ml |
| Expiration Date | 12 months from date of receipt. |
| Disclaimer | For research use only |
Similar Products
−MDM2 (phospho-Ser166) Antibody [orb15018]
IF, IHC, WB
Human
Rabbit
Polyclonal
Unconjugated
50 μl, 100 μlMDM2 (Phospho-Ser166) Rabbit mAb Antibody [orb1727672]
ICC, IHC, WB
Human
Rabbit
Monoclonal
Unconjugated
100 μl, 50 μlPhospho-MDM2 (Ser166) Rabbit Polyclonal Antibody (Biotin) [orb501446]
FC, ICC, IF, IHC-Fr, IHC-P
Equine, Mouse, Rabbit, Rat
Human
Rabbit
Polyclonal
Biotin
100 μlPhospho-MDM2 (Ser166) Rabbit Polyclonal Antibody (HRP) [orb504123]
IHC-Fr, IHC-P
Equine, Mouse, Rabbit, Rat
Human
Rabbit
Polyclonal
HRP
100 μlPhospho-MDM2 (Ser166) Rabbit Polyclonal Antibody (PE) [orb505674]
FC, ICC, IF
Equine, Mouse, Rabbit, Rat
Human
Rabbit
Polyclonal
PE
100 μl

Quality Guarantee
Explore bioreagents carefree to elevate your research. All our products are rigorously tested for performance. If a product does not perform as described on its datasheet, our scientific support team will provide expert troubleshooting, a prompt replacement, or a refund. For full details, please see our Terms & Conditions and Buying Guide. Contact us at support@biorbyt.com.
_antibody_orb127049_wb_1.jpg)
Western blot analysis of extracts from COS7 cells using MDM2 (phospho-Ser166) antibody
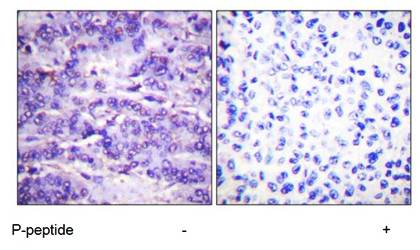
_antibody_orb127049_ihc_p_1.jpg)
Immunohistochemistry analysis of formalin-fixed and paraffin-embedded human breast carcinoma tissue using MDM2 (phospho-Ser166) antibody
_antibody_orb127049_if_1.jpg)
Confocal immunofluorescence analysis of A549 cells using MDM2 (phospho-Ser166) antibody
Quick Database Links
UniProt Details
−Documents Download
Request a Document
Protocol Information
MDM2 (Phospho-Ser166) Antibody (orb127049)
Participating in our Biorbyt product reviews program enables you to support fellow scientists by sharing your firsthand experience with our products.
Login to Submit a Review



