You have no items in your shopping cart.
MKK6 (Phospho-Ser207) Antibody
Description
Images & Validation
−| Tested Applications | IF, IHC, WB |
|---|---|
| Reactivity | Human, Mouse, Rat |
Key Properties
−| Antibody Type | Primary Antibody |
|---|---|
| Host | Rabbit |
| Clonality | Polyclonal |
| Conjugation | Unconjugated |
Storage & Handling
−| Storage | Maintain refrigerated at 2-8°C for up to 2 weeks. For long term storage store at -20°C in small aliquots to prevent freeze-thaw cycles. |
|---|---|
| Expiration Date | 12 months from date of receipt. |
| Disclaimer | For research use only |
Similar Products
−MKK6(Phospho-Ser207) Antibody [orb2629293]
IF, IHC, WB
Human, Mouse, Rat
Rabbit
Polyclonal
Unconjugated

Quality Guarantee
Explore bioreagents carefree to elevate your research. All our products are rigorously tested for performance. If a product does not perform as described on its datasheet, our scientific support team will provide expert troubleshooting, a prompt replacement, or a refund. For full details, please see our Terms & Conditions and Buying Guide. Contact us at support@biorbyt.com.

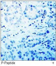
Immunohistochemical analysis of paraffin- embedded human breast carcinoma tissue using MKK6 (phospho-Ser207) antibody

Immunohistochemical analysis of paraffin- embedded human breast carcinoma tissue using MKK6 (phospho-Ser207) antibody

Western blot analysis of extract from MDA-MB-435 cells untreated or treated with UV, using MKK6 antibody (orb14553, Lane 1 and 2) and MKK6 (phospho-Ser207) antibody (orb14863, Lane 3 and 4)

Immunofluorescence staining of methanol-fixed HeLa cells showing cytoplasmic staining using MKK6 (phospho-Ser207) antibody
Quick Database Links
UniProt Details
−Documents Download
Request a Document
Protocol Information
MKK6 (Phospho-Ser207) Antibody (orb14863)
Participating in our Biorbyt product reviews program enables you to support fellow scientists by sharing your firsthand experience with our products.
Login to Submit a Review