You have no items in your shopping cart.
MME Antibody
Description
Images & Validation
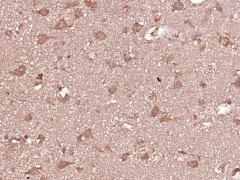
−| Tested Applications | ELISA, IHC |
|---|---|
| Dilution range | IHC-P: 1: 100-1: 500 |
| Reactivity | Human |
Key Properties
−| Host | Rabbit |
|---|---|
| Clonality | Polyclonal |
| Isotype | IgG |
| Immunogen | Recombinant Human Neprilysin protein (386-617AA) |
| Target | MME |
| Purification | >95%, Protein G purified |
| Conjugation | Unconjugated |
Storage & Handling
−| Storage | Maintain refrigerated at 2-8°C for up to 2 weeks. For long term storage store at -20°C in small aliquots to prevent freeze-thaw cycles. |
|---|---|
| Form/Appearance | Liquid |
| Buffer/Preservatives | Preservative: 0.03% Proclin 300. Constituents: 50% Glycerol |
| Disclaimer | For research use only |
Alternative Names
−Similar Products
−MMP12 Recombinant Rabbit Monoclonal Antibody [orb612218]
IF, IHC-Fr, IHC-P, WB
Mouse, Rat
Human
Rabbit
Recombinant
Unconjugated
25 μl, 100 μl, 50 μlMMP12 Rabbit Polyclonal Antibody [orb13585]
IF, IHC-Fr, IHC-P, WB
Mouse, Rat
Human, Mouse, Rat
Rabbit
Polyclonal
Unconjugated
100 μl, 50 μl, 200 μlCD10 (Membrane Metalloendopeptidase) Antibody [orb1410093]
IHC, WB
Human
Mouse
Monoclonal
Unconjugated
100 μg (without BSA and Azide), 100 μg, 20 μgCD10 (Membrane Metalloendopeptidase) Antibody [orb1410364]
IHC, WB
Human
Mouse
Monoclonal
Unconjugated
100 μg (without BSA and Azide), 100 μg, 20 μg

Quality Guarantee
Explore bioreagents carefree to elevate your research. All our products are rigorously tested for performance. If a product does not perform as described on its datasheet, our scientific support team will provide expert troubleshooting, a prompt replacement, or a refund. For full details, please see our Terms & Conditions and Buying Guide. Contact us at support@biorbyt.com.

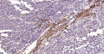
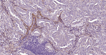
Immunohistochemical staining of human kidney tissue using MME antibody
Quick Database Links
UniProt Details
−Documents Download
Request a Document
Protocol Information
MME Antibody (orb688064)
Participating in our Biorbyt product reviews program enables you to support fellow scientists by sharing your firsthand experience with our products.
Login to Submit a Review
































