You have no items in your shopping cart.
Mono-Methyl-Histone H3 (Lys23) Recombinant Rabbit Monoclonal Antibody
Description
Research Area
Images & Validation
−| Tested Applications | ICC, IF, IHC-Fr, IHC-P, WB |
|---|---|
| Dilution Range | WB=1:500-1000, IHC-P=1:100-500, IHC-F=1:100-500, ICC/IF=1:100-500, IF=1:100-500 |
| Reactivity | Human, Mouse, Rat |
| Predicted Reactivity | Human, Mouse, Rat |
Key Properties
−| Antibody Type | Primary Antibody |
|---|---|
| Host | Rabbit |
| Clonality | Recombinant |
| Isotype | IgG |
| Clone No. | E3E1 |
| Target | H3C1 |
| Purification | Affinity purified by Protein A |
| Conjugation | Unconjugated |
Storage & Handling
−| Storage | Maintain refrigerated at 2-8°C for up to 2 weeks. For long term storage store at -20°C in small aliquots to prevent freeze-thaw cycles. |
|---|---|
| Form/Appearance | Liquid |
| Buffer/Preservatives | 0.01M TBS (pH7.4) with 1% rAlbumin, 0.02% Proclin300 and 50% Glycerol. |
| Concentration | 1mg/ml |
| Expiration Date | 12 months from date of receipt. |
| Disclaimer | For research use only |

Quality Guarantee
Explore bioreagents carefree to elevate your research. All our products are rigorously tested for performance. If a product does not perform as described on its datasheet, our scientific support team will provide expert troubleshooting, a prompt replacement, or a refund. For full details, please see our Terms & Conditions and Buying Guide. Contact us at support@biorbyt.com.

Blocking buffer: 5% NFDM/TBST, Primary ab Dilution: 1:1000, Primary ab incubation condition: 2 hours at room temperature, Secondary ab: Goat Anti-Rabbit IgG H&L (HRP), Lysate: HeLa, MCF-7, N2a, BRL, Mouse kidney, rH3, Protein loading quantity: 20 µg, Exposure time: 60 s, Predicted MW: 15 kDa, Observed MW: 15 kDa.

Cell line: HeLa, Fixative: 100% Ice-cold methanol, Permeabilization: 0.1% TritonX-100, Primary ab Dilution: 1:50, Primary incubation condition: 4°C overnight, Secondary ab: Goat Anti-Rabbit IgG, Nuclear counter stain: DAPI (Blue), Counter stain: Tubulin (Red), Comment: Color green is the positive signal for orb1173103.

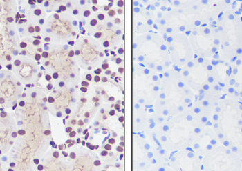
Tissue: Mouse liver, Section type: Formalin fixed & Paraffin embedded section, Retrieval method: High temperature and high pressure, Retrieval buffer: Tris/EDTA buffer, pH9.0, Primary ab Dilution: 1:500, Primary ab incubation condition: 1 hour at room temperature, Secondary ab: SP Kit (Rabbit), Counter stain: Hematoxylin (Blue), Comment: Color brown is the positive signal for orb1173103.

Tissue: Rat kidney, Section type: Formalin fixed & Paraffin embedded section, Retrieval method: High temperature and high pressure, Retrieval buffer: Tris/EDTA buffer, pH9.0, Primary ab Dilution: 1:500, Primary ab incubation condition: 1 hour at room temperature, Secondary ab: SP Kit (Rabbit), Counter stain: Hematoxylin (Blue), Comment: Color brown is the positive signal for orb1173103.
Quick Database Links
Documents Download
Request a Document
Protocol Information
Mono-Methyl-Histone H3 (Lys23) Recombinant Rabbit Monoclonal Antibody (orb1173103)
Participating in our Biorbyt product reviews program enables you to support fellow scientists by sharing your firsthand experience with our products.
Login to Submit a Review