You have no items in your shopping cart.
Monocyte differentiation antigen CD14
Description
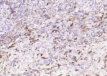
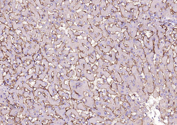
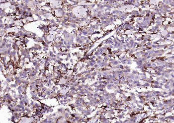
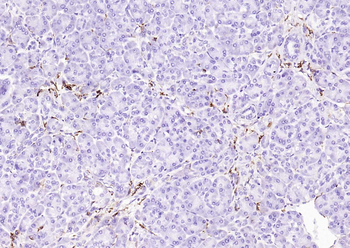
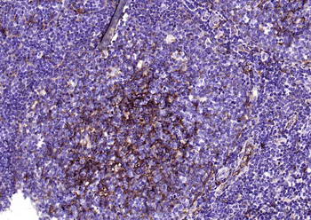
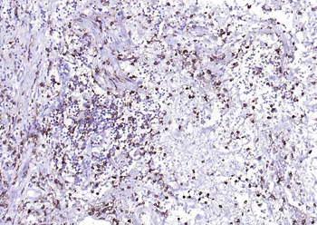
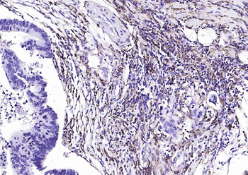
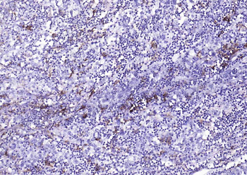
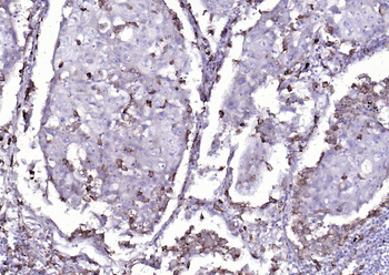
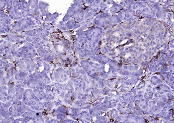
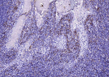
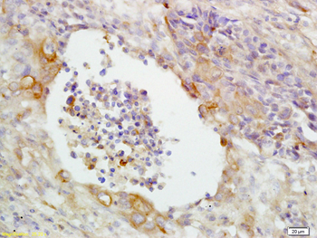
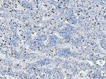
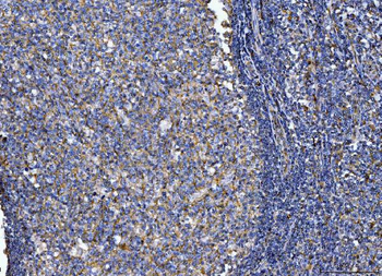
Images & Validation
−
Key Properties
−| Expression System | E.coli |
|---|---|
| Tag | His |
Storage & Handling
−| Storage | Store at -20°C. (Avoid repeated freezing and thawing.) |
|---|---|
| Expiration Date | 6 months from date of receipt. |
| Disclaimer | For research use only |
Similar Products
−CD14 Antibody [orb688867]
ELISA, FC, IF, IHC, WB
Human, Mouse, Rabbit
Mouse
Monoclonal
Unconjugated
50 μl, 100 μlCD14 Recombinant Rabbit Monoclonal Antibody [orb608064]
IF, IHC-Fr, IHC-P, WB
Human
Rabbit
Recombinant
Unconjugated
50 μl, 100 μl, 25 μlCD14 Rabbit Polyclonal Antibody [orb499573]
IF, IHC-Fr, IHC-P, WB
Human
Human
Rabbit
Polyclonal
Unconjugated
100 μl, 50 μlCD14 Antibody [orb688868]
ELISA, IF, IHC, WB
Human, Mouse, Rabbit, Rat
Mouse
Monoclonal
Unconjugated
100 μl, 50 μlCD14 Rabbit Polyclonal Antibody [orb1098032]
ELISA, FC, ICC, IF, IHC
Human
Rabbit
Polyclonal
Unconjugated
100 μg

Quality Guarantee
Explore bioreagents carefree to elevate your research. All our products are rigorously tested for performance. If a product does not perform as described on its datasheet, our scientific support team will provide expert troubleshooting, a prompt replacement, or a refund. For full details, please see our Terms & Conditions and Buying Guide. Contact us at support@biorbyt.com.
Documents Download
Request a Document
Protocol Information
Monocyte differentiation antigen CD14 (orb1643317)
Participating in our Biorbyt product reviews program enables you to support fellow scientists by sharing your firsthand experience with our products.
Login to Submit a Review





















































