You have no items in your shopping cart.
H3K9me1 Antibody
Description
Research Area
Images & Validation
−| Tested Applications | ChIP, IF, IHC, IP, WB |
|---|---|
| Reactivity | Human, Mouse, Other, Rat |
| Application Notes |
Key Properties
−| Antibody Type | Primary Antibody |
|---|---|
| Host | Rabbit |
| Clonality | Polyclonal |
| Isotype | IgG |
| Immunogen | A synthetic methylated peptide corresponding to residues surrounding K9 of human histone H3 |
| Target | H3K9me1 |
| Molecular Weight | Observed: 18kDa |
| Purification | Affinity purification |
| Conjugation | Unconjugated |
Storage & Handling
−| Storage | Maintain refrigerated at 2-8°C for up to 2 weeks. For long term storage store at -20°C in small aliquots to prevent freeze-thaw cycles. |
|---|---|
| Form/Appearance | Liquid |
| Buffer/Preservatives | PBS with 0.02% sodium azide, 50% glycerol, pH 7.3. |
| Concentration | batch dependent |
| Expiration Date | 12 months from date of receipt. |
| Disclaimer | For research use only |
Alternative Names
−Similar Products
−Histone H3 K9me1/phospho T6 Antibody [orb420391]
ChIP, DOT, IF, IHC, WB
C. elegans, Human, Mouse
Rabbit
Polyclonal
Unconjugated
50 μgHistone H3 (mono methyl K9) Mouse Monoclonal Antibody [orb500365]
IF, IHC-Fr, IHC-P, WB
Bovine
Human, Mouse, Rat
Mouse
Monoclonal
Unconjugated
50 μl, 100 μl, 200 μl, 200 μgHistone H3 K9me1 Antibody [orb420396]
ChIP, DOT, IF, IHC, Multiplex Assay, WB
C. elegans, Human, Mouse
Rabbit
Polyclonal
Unconjugated
50 μgEHMT2 Rabbit mAb [KD Validated] Antibody [orb1726774]
FC, ICC, IHC, IP, WB
Human, Mouse, Rat
Rabbit
Monoclonal
Unconjugated
100 μl, 50 μlEHMT2/G9A Rabbit mAb [KD Validated] Antibody [orb1727108]
IHC, WB
Human
Rabbit
Monoclonal
Unconjugated
100 μl, 50 μl

Quality Guarantee
Explore bioreagents carefree to elevate your research. All our products are rigorously tested for performance. If a product does not perform as described on its datasheet, our scientific support team will provide expert troubleshooting, a prompt replacement, or a refund. For full details, please see our Terms & Conditions and Buying Guide. Contact us at support@biorbyt.com.

Western blot analysis of extracts of various cell lines, using MonoMethyl-Histone H3-K9 antibody (orb1258190). Secondary antibody: HRP Goat Anti-Rabbit IgG (H+L) at 1:10000 dilution. Lysates/proteins: 25 ug per lane. Blocking buffer: 3% nonfat dry milk in TBST.

Dot-blot analysis of all sorts of methylation peptides using MonoMethyl-Histone H3-K9 antibody (orb1258190).

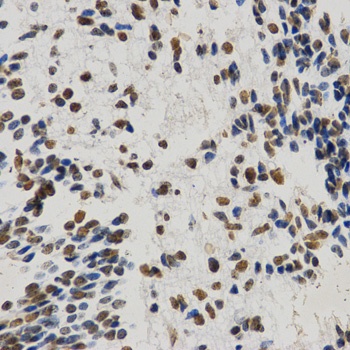
Immunohistochemistry of paraffin-embedded rat testis using MonoMethyl-Histone H3-K9 antibody (orb1258190) at dilution of 1:200 (40x lens).

Immunohistochemistry of paraffin-embedded human embryo brain using MonoMethyl-Histone H3-K9 antibody (orb1258190) at dilution of 1:200 (40x lens).

Immunofluorescence analysis of 293T cells using MonoMethyl-Histone H3-K9 antibody (orb1258190). Blue: DAPI for nuclear staining.

Immunofluorescence analysis of C6 cells using MonoMethyl-Histone H3-K9 antibody (orb1258190) at dilution of 1:100. Blue: DAPI for nuclear staining.

Immunofluorescence analysis of HeLa cells using MonoMethyl-Histone H3-K9 antibody (orb1258190) at dilution of 1:100. Blue: DAPI for nuclear staining.

Immunofluorescence analysis of NIH/3T3 cells using MonoMethyl-Histone H3-K9 antibody (orb1258190) at dilution of 1:100. Blue: DAPI for nuclear staining.

Chromatin immunoprecipitation analysis of extracts of 293 cell line, using MonoMethyl-Histone H3-K9 antibody (orb1258190) and rabbit IgG. The amount of immunoprecipitated DNA was checked by quantitative PCR. Histogram was constructed by the ratios of the immunoprecipitated DNA to the input.
Quick Database Links
UniProt Details
−Documents Download
Request a Document
Protocol Information
H3K9me1 Antibody (orb1258190)
Participating in our Biorbyt product reviews program enables you to support fellow scientists by sharing your firsthand experience with our products.
Login to Submit a Review














![EHMT2 Rabbit mAb [KD Validated] Antibody](/images/pub/media/catalog/product/NewWebsite/18/orb1726774_1.png)
![EHMT2 Rabbit mAb [KD Validated] Antibody](/images/pub/media/catalog/product/NewWebsite/18/orb1726774_2.png)
![EHMT2/G9A Rabbit mAb [KD Validated] Antibody](/images/pub/media/catalog/product/NewWebsite/18/orb1727108_1.png)
![EHMT2/G9A Rabbit mAb [KD Validated] Antibody](/images/pub/media/catalog/product/NewWebsite/18/orb1727108_2.png)