You have no items in your shopping cart.
MPL Antibody
Description
Research Area
Images & Validation
−| Tested Applications | ELISA, IF, IHC |
|---|---|
| Dilution Range | IHC-P:1:20-200, IF:1:50-200 |
| Reactivity | Human |
Key Properties
−| Host | Rabbit |
|---|---|
| Clonality | Polyclonal |
| Isotype | IgG |
| Immunogen | Recombinant Human Thrombopoietin receptor protein (26-491AA) |
| Target | MPL |
| Purification | >95%, Protein G purified |
| Conjugation | Unconjugated |
Storage & Handling
−| Storage | Maintain refrigerated at 2-8°C for up to 2 weeks. For long term storage store at -20°C in small aliquots to prevent freeze-thaw cycles. |
|---|---|
| Form/Appearance | Liquid |
| Buffer/Preservatives | Preservative: 0.03% Proclin 300. Constituents: 50% Glycerol |
| Expiration Date | 12 months from date of receipt. |
| Disclaimer | For research use only |
Alternative Names
−Similar Products
−Thrombopoietin/Thpo Rabbit Polyclonal Antibody [orb19292]
ELISA, IHC, WB
Mouse, Rat
Rabbit
Polyclonal
Unconjugated
100 μgTPO rabbit pAb Antibody [orb767018]
ELISA, IF, IHC, WB
Human, Mouse, Rat
Polyclonal
Unconjugated
100 μlHuman Myeloproliferative Leukemia Virus Oncogene (MPL) ELISA Kit [orb779453]
Human
0.32-20 ng/mL
0.108 ng/mL
96 T, 48 TCD110 rabbit pAb Antibody [orb767074]
ELISA, IF, IHC, WB
Human, Mouse, Rat
Polyclonal
Unconjugated
50 μl, 100 μlTPOR Rabbit Polyclonal Antibody [orb158639]
FC, WB
Canine, Rat, Sheep
Human, Mouse
Rabbit
Polyclonal
Unconjugated
50 μl, 100 μl, 200 μl

Quality Guarantee
Explore bioreagents carefree to elevate your research. All our products are rigorously tested for performance. If a product does not perform as described on its datasheet, our scientific support team will provide expert troubleshooting, a prompt replacement, or a refund. For full details, please see our Terms & Conditions and Buying Guide. Contact us at support@biorbyt.com.

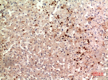
Immunohistochemistry of paraffin-embedded human spleen tissue using MPL antibody

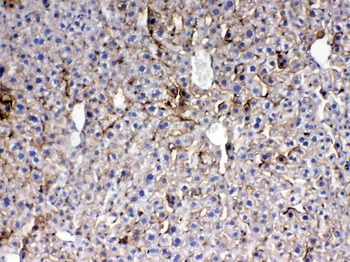
Immunofluorescent analysis of A549 cells using MPL antibody

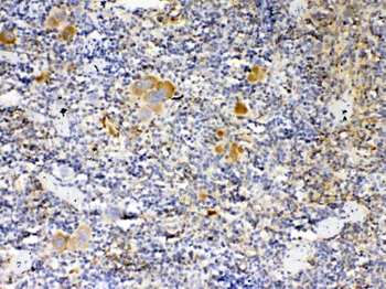
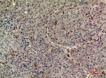
Immunohistochemistry of paraffin-embedded human tonsil tissue using MPL antibody
Quick Database Links
UniProt Details
−Documents Download
Request a Document
Protocol Information
MPL Antibody (orb43641)
Participating in our Biorbyt product reviews program enables you to support fellow scientists by sharing your firsthand experience with our products.
Login to Submit a Review














