You have no items in your shopping cart.
Myc (Phospho-Ser62) Antibody
Description
Research Area
Images & Validation
−| Tested Applications | IF, IHC, WB |
|---|---|
| Dilution Range | WB: 1:500-3000, IHC-P: 1:50-100, IF/ICC: 1:100-1:500, ELISA: 1:40000 |
| Reactivity | Human, Mouse, Rat |
Key Properties
−| Host | Rabbit |
|---|---|
| Clonality | Polyclonal |
| Immunogen | N-terminal |
| Conjugation | Unconjugated |
Storage & Handling
−| Storage | Maintain refrigerated at 2-8°C for up to 2 weeks. For long term storage store at -20°C in small aliquots to prevent freeze-thaw cycles. |
|---|---|
| Concentration | 1mg/ml |
| Expiration Date | 12 months from date of receipt. |
| Disclaimer | For research use only |
Alternative Names
−Similar Products
−Phospho-C-Myc (Ser62) Recombinant Rabbit Monoclonal Antibody [orb559118]
ICC, IF, IHC-Fr, IHC-P, WB
Mouse, Rat
Human, Mouse, Rat
Rabbit
Recombinant
Unconjugated
50 μl, 100 μlPhospho-C-Myc (Ser62) Rabbit Polyclonal Antibody [orb506131]
IF, IHC-Fr, IHC-P
Bovine, Canine, Equine, Human, Mouse, Porcine, Rabbit
Rat
Rabbit
Polyclonal
Unconjugated
50 μl, 100 μl, 200 μlc-Myc (phospho Ser62) Polyclonal Antibody [orb1414961]
IF, IHC-P, WB
Human, Mouse, Rat
Rabbit
Polyclonal
Unconjugated
100 μlc-Myc (Phospho-Ser62) Rabbit mAb Antibody [orb1727785]
ICC, IHC, IP, WB
Human, Mouse, Rat
Rabbit
Monoclonal
Unconjugated
100 μl, 50 μlMyc (Phospho-Ser62) Antibody [orb15027]
IF, WB
Human, Mouse, Rat
Rabbit
Polyclonal
Unconjugated
50 μl, 100 μl

Quality Guarantee
Explore bioreagents carefree to elevate your research. All our products are rigorously tested for performance. If a product does not perform as described on its datasheet, our scientific support team will provide expert troubleshooting, a prompt replacement, or a refund. For full details, please see our Terms & Conditions and Buying Guide. Contact us at support@biorbyt.com.

Immunofluorescence analysis of HeLa cells using Myc (phospho-Ser62) antibody.

Western blot analysis of 293 cells using Myc (phospho-Ser62) antibody.

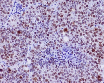
Immunohistochemical analysis of human breast carcinoma tissue using Myc (phospho-Ser62) antibody.
Quick Database Links
UniProt Details
−Documents Download
Request a Document
Protocol Information
Myc (Phospho-Ser62) Antibody (orb222841)
Participating in our Biorbyt product reviews program enables you to support fellow scientists by sharing your firsthand experience with our products.
Login to Submit a Review










