You have no items in your shopping cart.
Myc (Phospho-Thr358) Antibody
Description
Images & Validation
−| Tested Applications | IF, IHC, WB |
|---|---|
| Reactivity | Human |
Key Properties
−| Antibody Type | Primary Antibody |
|---|---|
| Host | Rabbit |
| Clonality | Polyclonal |
| Conjugation | Unconjugated |
Storage & Handling
−| Storage | Maintain refrigerated at 2-8°C for up to 2 weeks. For long term storage store at -20°C in small aliquots to prevent freeze-thaw cycles. |
|---|---|
| Expiration Date | 12 months from date of receipt. |
| Disclaimer | For research use only |
Similar Products
−Phospho-C-Myc (Thr358) Rabbit Polyclonal Antibody [orb5694]
FC, WB
Equine
Human
Rabbit
Polyclonal
Unconjugated
100 μl, 200 μl, 50 μlPhospho-C-Myc (Thr358) Rabbit Polyclonal Antibody (PE) [orb505776]
FC
Equine
Human
Rabbit
Polyclonal
PE
100 μlPhospho-C-Myc (Thr358) Rabbit Polyclonal Antibody (Biotin) [orb502286]
FC, WB
Equine
Human
Rabbit
Polyclonal
Biotin
100 μlPhospho-C-Myc (Thr358) Rabbit Polyclonal Antibody (HRP) [orb504215]
WB
Equine
Human
Rabbit
Polyclonal
HRP
100 μlPhospho-C-Myc (Thr358) Rabbit Polyclonal Antibody (FITC) [orb8542]
FC
Equine
Human
Rabbit
Polyclonal
FITC
100 μl

Quality Guarantee
Explore bioreagents carefree to elevate your research. All our products are rigorously tested for performance. If a product does not perform as described on its datasheet, our scientific support team will provide expert troubleshooting, a prompt replacement, or a refund. For full details, please see our Terms & Conditions and Buying Guide. Contact us at support@biorbyt.com.

Immunofluorescence staining of methanol-fixed HeLa cells using Myc (phospho-Thr358) antibody

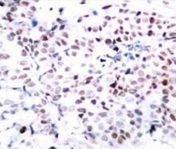
Immunohistochemical analysis of paraffin-embedded human breast carcinoma tissue using Myc (phospho-Thr358) antibody

Western blot analysis of extracts from HT-29 cells treated with UV (20min), using Myc (Ab-358) antibody (Lane 1 and 2) and Myc (phospho-Thr358) antibody (Lane 3 and 4)

Immunohistochemical analysis of paraffin-embedded human breast carcinoma tissue using Myc (phospho-Thr358) antibody
Quick Database Links
UniProt Details
−Documents Download
Request a Document
Protocol Information
Myc (Phospho-Thr358) Antibody (orb14769)
Participating in our Biorbyt product reviews program enables you to support fellow scientists by sharing your firsthand experience with our products.
Login to Submit a Review

