You have no items in your shopping cart.
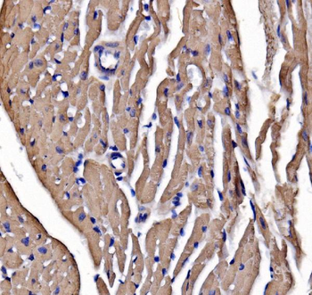
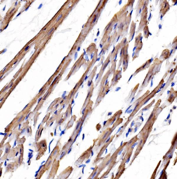
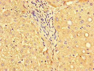
MYH3 Antibody
SKU: orb3072397
Description
Images & Validation
−
| Tested Applications | WB |
|---|---|
| Dilution range | WB (1/500 - 1/1000) |
| Reactivity | Human, Mouse, Rat |
Key Properties
−| Antibody Type | Primary Antibody |
|---|---|
| Host | Rabbit |
| Clonality | Polyclonal |
| Immunogen | KLH-conjugated synthetic peptide encompassing a sequence within the center region of human MYH3. The exact sequence is proprietary. |
| Purification | The antibody was purified by immunogen affinity chromatography. |
| Conjugation | Unconjugated |
Storage & Handling
−| Storage | Maintain refrigerated at 2-8°C for up to 2 weeks. For long term storage store at -20°C in small aliquots to prevent freeze-thaw cycles. |
|---|---|
| Form/Appearance | Liquid in 0.42% Potassium phosphate, 0.87% Sodium chloride, pH 7.3, 30% glycerol, and 0.01% sodium azide. |
| Disclaimer | For research use only |
Alternative Names
−Myosin-3; Muscle embryonic myosin heavy chain; Myosin heavy chain 3; Myosin heavy chain, fast skeletal muscle, embryonic; SMHCE
Similar Products
−Human Myosin Heavy Chain 3, Skeletal Muscle, Embryonic (MYH3) ELISA Kit [orb778589]
Human
0.32-20 ng/mL
0.132 ng/mL
96 T, 48 Theavy chain Myosin/Myh3 Antibody [orb865435]
ELISA, FC, IHC, WB
Human, Mouse, Rat
Rabbit
Polyclonal
Unconjugated
100 μgheavy chain Myosin/MYH3 Antibody [orb1289996]
ELISA, FC, WB
Human, Mouse, Rat
Rabbit
Polyclonal
Unconjugated
100 μg

Quality Guarantee
Explore bioreagents carefree to elevate your research. All our products are rigorously tested for performance. If a product does not perform as described on its datasheet, our scientific support team will provide expert troubleshooting, a prompt replacement, or a refund. For full details, please see our Terms & Conditions and Buying Guide. Contact us at support@biorbyt.com.
Documents Download
Datasheet
Product Information
Request a Document
MYH3 Antibody (orb3072397)
Based on 0 reviews
Participating in our Biorbyt product reviews program enables you to support fellow scientists by sharing your firsthand experience with our products.
Login to Submit a Review









