You have no items in your shopping cart.
PBEF1 Rabbit Polyclonal Antibody
Description
Research Area
Images & Validation
−| Tested Applications | IHC, WB |
|---|---|
| Reactivity | Human |
| Predicted Reactivity | Bovine, Canine, Equine, Guinea pig, Mouse, Rabbit, Rat, Zebrafish |
Key Properties
−| Host | Rabbit |
|---|---|
| Clonality | Polyclonal |
| Immunogen | The immunogen is a synthetic peptide directed towards the C terminal region of human PBEF1 |
| Target | NAMPT |
| Protein Sequence | Synthetic peptide located within the following region: VTLEEGKGDLEEYGQDLLHTVFKNGKVTKSYSFDEIRKNAQLNIELEAAH |
| Molecular Weight | 54kDa |
| Purification | Protein A purified |
| Conjugation | Unconjugated |
Storage & Handling
−| Storage | Maintain refrigerated at 2-8°C for up to 2 weeks. For long term storage store at -20°C in small aliquots to prevent freeze-thaw cycles. |
|---|---|
| Buffer/Preservatives | Liquid. Purified antibody supplied in 1x PBS buffer with 0.09% (w/v) sodium azide and 2% sucrose. |
| Concentration | 1.0 mg/ml |
| Expiration Date | 12 months from date of receipt. |
| Disclaimer | For research use only |
Alternative Names
−Similar Products
−Visfatin Rabbit Polyclonal Antibody [orb11562]
FC, IF, IHC-Fr, IHC-P
Bovine, Equine, Gallus, Monkey, Mouse, Porcine
Human, Rat
Rabbit
Polyclonal
Unconjugated
200 μl, 50 μl, 100 μlVisfatin/NAMPT Rabbit Polyclonal Antibody [orb371743]
ELISA, FC, ICC, IF, IHC, IHC-Fr, WB
Human, Mouse, Rat
Rabbit
Polyclonal
Unconjugated
100 μgVisfatin Rabbit Polyclonal Antibody [orb11564]
FC, IF, IHC-Fr, IHC-P
Bovine, Canine, Equine, Gallus, Monkey, Mouse
Human, Rat
Rabbit
Polyclonal
Unconjugated
50 μl, 100 μl, 200 μlNAMPT Antibody [orb632522]
ELISA, IHC, IP, WB
Human, Mouse, Rat
Rabbit
Polyclonal
Unconjugated
100 μg, 50 μgPBEF1 Rabbit Polyclonal Antibody [orb324988]
WB
Bovine, Canine, Equine, Guinea pig, Mouse, Rabbit, Rat, Zebrafish
Human
Rabbit
Polyclonal
Unconjugated
100 μl

Quality Guarantee
Explore bioreagents carefree to elevate your research. All our products are rigorously tested for performance. If a product does not perform as described on its datasheet, our scientific support team will provide expert troubleshooting, a prompt replacement, or a refund. For full details, please see our Terms & Conditions and Buying Guide. Contact us at support@biorbyt.com.

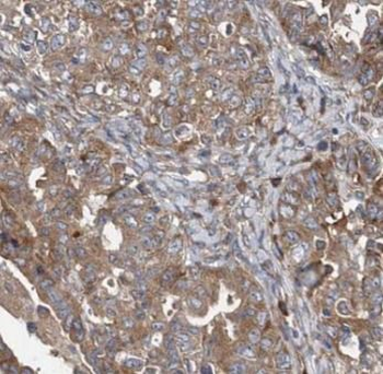
Sample Type: Human Adult Placenta, Antibody Dilution: 1.0 ug/mL.

Rabbit Anti-PBEF1 Antibody, Paraffin Embedded Tissue: Human Kidney, Cellular Data: Epithelial cells of renal tubule, Antibody Concentration: 4.0-8.0 ug/mL, Magnification: 400X.

WB Suggested Anti-PBEF1 Antibody Titration: 1.25 ug/mL, Positive Control: Jurkat cell lysate.
Documents Download
Request a Document
Protocol Information
PBEF1 Rabbit Polyclonal Antibody (orb324989)
Participating in our Biorbyt product reviews program enables you to support fellow scientists by sharing your firsthand experience with our products.
Login to Submit a Review

















