You have no items in your shopping cart.
NFκB-p105 (phospho Ser932) rabbit pAb Antibody
Description
Images & Validation
−| Tested Applications | ELISA, IF, IHC, WB |
|---|---|
| Dilution Range | Western Blot: 1/500 - 1/2000. Immunohistochemistry: 1/100 - 1/300. ELISA: 1/10000. Not yet tested in other applications. |
| Reactivity | Human, Mouse, Rat |
Key Properties
−| Clonality | Polyclonal |
|---|---|
| Isotype | IgG |
| Immunogen | The antiserum was produced against synthesized peptide derived from human NF-kappaB p105/p50 around the phosphorylation site of Ser932. AA range:899-948 |
| Molecular Weight | 105 |
| Purification | The antibody was affinity-purified from rabbit antiserum by affinity-chromatography using epitope-specific immunogen. |
| Conjugation | Unconjugated |
Storage & Handling
−| Storage | Maintain refrigerated at 2-8°C for up to 2 weeks. For long term storage store at -20°C in small aliquots to prevent freeze-thaw cycles. |
|---|---|
| Buffer/Preservatives | PBS with 0.02% sodium azide and 50% glycerol pH 7.4. |
| Concentration | 1 mg/ml |
| Expiration Date | 12 months from date of receipt. |
| Disclaimer | For research use only |
Alternative Names
−
Quality Guarantee
Explore bioreagents carefree to elevate your research. All our products are rigorously tested for performance. If a product does not perform as described on its datasheet, our scientific support team will provide expert troubleshooting, a prompt replacement, or a refund. For full details, please see our Terms & Conditions and Buying Guide. Contact us at support@biorbyt.com.

Western Blot analysis of various cells using Phospho-NFκB-p105 (S932) Polyclonal Antibody.

Enzyme-Linked Immunosorbent Assay (Phospho-ELISA) for Immunogen Phosphopeptide (Phospho-left) and Non-Phosphopeptide (Phospho-right), using NF-kappaB p105/p50 (Phospho-Ser932) Antibody.

Western blot analysis of lysates from HeLa cells treated with CA + TNF 20ng/ml 10', using NF-kappaB p105/p50 (Phospho-Ser932) Antibody. The lane on the left is blocked with the phospho peptide.

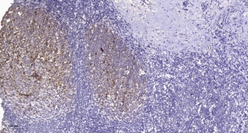
Immunohistochemical analysis of paraffin-embedded human tonsil. 1, Tris-EDTA, pH9.0 was used for antigen retrieval. 2 Antibody was diluted at 1:200 (4°C overnight.3, Secondary antibody was diluted at 1:200 (room temperature, 45min).
Documents Download
Request a Document
Protocol Information
NFκB-p105 (phospho Ser932) rabbit pAb Antibody (orb764242)
Participating in our Biorbyt product reviews program enables you to support fellow scientists by sharing your firsthand experience with our products.
Login to Submit a Review