You have no items in your shopping cart.
NFκB-p65 (phospho Ser529) Polyclonal Antibody
Description
Research Area
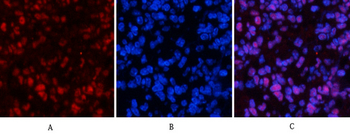
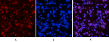
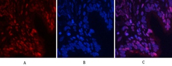
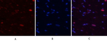
Images & Validation
−| Tested Applications | IF, IHC-P, WB |
|---|---|
| Dilution Range | IF: IF: 1:50-200 Western Blot: 1/500 - 1/2000. Immunohistochemistry: 1/100 - 1/300. ELISA: 1/20000. Not yet tested in other applications. |
| Reactivity | Human, Mouse, Rat |
Key Properties
−| Host | Rabbit |
|---|---|
| Clonality | Polyclonal |
| Conjugation | Unconjugated |
Storage & Handling
−| Storage | Maintain refrigerated at 2-8°C for up to 2 weeks. For long term storage store at -20°C in small aliquots to prevent freeze-thaw cycles |
|---|---|
| Expiration Date | 12 months from date of receipt. |
| Disclaimer | For research use only |
Alternative Names
−Similar Products
−NFκB-p65 (phospho Ser529) rabbit pAb Antibody [orb764245]
ELISA, IF, IHC, WB
Human, Monkey, Mouse, Rat
Polyclonal
Unconjugated
100 μl, 50 μlNFκB-p65 (phospho Ser529) rabbit pAb Antibody [orb764246]
ELISA, IF, IHC, WB
Human, Mouse
Polyclonal
Unconjugated
100 μl, 50 μlPhospho-NFKB p65 (Ser529) Rabbit Polyclonal Antibody [orb6505]
FC, IF, IHC-Fr, IHC-P
Equine
Human
Rabbit
Polyclonal
Unconjugated
100 μl, 200 μl, 50 μlNFκB-p65 (phospho Ser529) Polyclonal Antibody [orb1415342]
IHC-P, WB
Human, Mouse
Rabbit
Polyclonal
Unconjugated
100 μl

Quality Guarantee
Explore bioreagents carefree to elevate your research. All our products are rigorously tested for performance. If a product does not perform as described on its datasheet, our scientific support team will provide expert troubleshooting, a prompt replacement, or a refund. For full details, please see our Terms & Conditions and Buying Guide. Contact us at support@biorbyt.com.







Quick Database Links
UniProt Details
−Documents Download
Request a Document
Protocol Information
NFκB-p65 (phospho Ser529) Polyclonal Antibody (orb1415343)
Participating in our Biorbyt product reviews program enables you to support fellow scientists by sharing your firsthand experience with our products.
Login to Submit a Review









