You have no items in your shopping cart.
NP Antibody
Description
Research Area
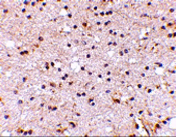
Images & Validation
−| Tested Applications | ELISA, WB |
|---|---|
| Dilution Range | ELISA |
| Reactivity | Virus |
Key Properties
−| Host | Rabbit |
|---|---|
| Clonality | Polyclonal |
| Isotype | IgG |
| Immunogen | Recombinant Reston ebolavirus Nucleoprotein protein (414-739AA) |
| Target | NP |
| Purification | >95%, Protein G purified |
| Conjugation | Unconjugated |
Storage & Handling
−| Storage | Maintain refrigerated at 2-8°C for up to 2 weeks. For long term storage store at -20°C in small aliquots to prevent freeze-thaw cycles. |
|---|---|
| Form/Appearance | Liquid |
| Buffer/Preservatives | Preservative: 0.03% Proclin 300. Constituents: 50% Glycerol |
| Expiration Date | 12 months from date of receipt. |
| Disclaimer | For research use only |
Alternative Names
−Similar Products
−Nucleoside phosphorylase/PNP Rabbit Polyclonal Antibody [orb389429]
FC, IHC, WB
Human, Mouse, Rat
Rabbit
Polyclonal
Unconjugated
100 μgSARS-CoV-2 (2019-nCoV) Nucleocapsid Mouse Monoclonal Antibody [orb638870]
WB
Virus
Virus
Mouse
Monoclonal
Unconjugated
200 μg, 100 μgMouse IgG2b k Isotype Control, InVivoPure+ [orb2568791]
In vivo
Mouse, Rat
Mouse
Monoclonal
Unconjugated
100 mg, 50 mg, 25 mg, 5 mg, 1 mgMouse IgG2b k Isotype Control, InVivoPure [orb2568792]
In vivo
Mouse, Rat
Mouse
Monoclonal
Unconjugated
1 mg, 100 mg, 50 mg, 25 mg, 5 mgNPTX2 Antibody [orb1239671]
ELISA, IF, IHC-P, WB
Guinea pig
Human, Mouse, Rat
Rabbit
Polyclonal
Unconjugated
0.1 mg, 0.02 mg

Quality Guarantee
Explore bioreagents carefree to elevate your research. All our products are rigorously tested for performance. If a product does not perform as described on its datasheet, our scientific support team will provide expert troubleshooting, a prompt replacement, or a refund. For full details, please see our Terms & Conditions and Buying Guide. Contact us at support@biorbyt.com.

Western blot analysis of Recombinant protein using NP antibody
Quick Database Links
UniProt Details
−Documents Download
Request a Document
Protocol Information
NP Antibody (orb53679)
Participating in our Biorbyt product reviews program enables you to support fellow scientists by sharing your firsthand experience with our products.
Login to Submit a Review



















