You have no items in your shopping cart.
NQO1 Antibody
Description
Research Area
Images & Validation
−| Tested Applications | ELISA, IF, IHC |
|---|---|
| Dilution Range | IHC-P:1:20-200, IF:1:50-200 |
| Reactivity | Human |
Key Properties
−| Host | Rabbit |
|---|---|
| Clonality | Polyclonal |
| Isotype | IgG |
| Immunogen | Recombinant Human NAD(P)H dehydrogenase [quinone] 1 protein (55-155AA) |
| Target | NQO1 |
| Purification | >95%, Protein G purified |
| Conjugation | Unconjugated |
Storage & Handling
−| Storage | Maintain refrigerated at 2-8°C for up to 2 weeks. For long term storage store at -20°C in small aliquots to prevent freeze-thaw cycles. |
|---|---|
| Form/Appearance | Liquid |
| Buffer/Preservatives | Preservative: 0.03% Proclin 300. Constituents: 50% Glycerol |
| Expiration Date | 12 months from date of receipt. |
| Disclaimer | For research use only |
Alternative Names
−Similar Products
−NQO1 Rabbit Polyclonal Antibody [orb13617]
ICC, IF, IHC-Fr, IHC-P, WB
Equine, Guinea pig, Porcine, Rabbit
Human, Mouse, Rat
Rabbit
Polyclonal
Unconjugated
200 μl, 50 μl, 100 μlNQO1 Antibody [orb1247187]
ELISA, IF, IHC, WB
Canine
Human, Porcine, Rat
Goat
Polyclonal
Unconjugated
0.1 mgRat NADH Dehydrogenase, Quinone 1 (NQO1) ELISA Kit [orb781800]
Rat
0.32-20 ng/mL
0.114 ng/mL
96 T, 48 TMouse NADH Dehydrogenase, Quinone 1 (NQO1) ELISA Kit [orb781777]
Mouse
0.32-20 ng/mL
0.127 ng/mL
96 T, 48 T

Quality Guarantee
Explore bioreagents carefree to elevate your research. All our products are rigorously tested for performance. If a product does not perform as described on its datasheet, our scientific support team will provide expert troubleshooting, a prompt replacement, or a refund. For full details, please see our Terms & Conditions and Buying Guide. Contact us at support@biorbyt.com.

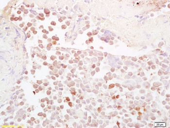
Immunohistochemistry of paraffin-embedded human pancreatic cancer tissue using NQO1 antibody

Immunofluorescent analysis of A549 cells using NQO1 antibody
Quick Database Links
UniProt Details
−Documents Download
Request a Document
Protocol Information
NQO1 Antibody (orb54003)
Participating in our Biorbyt product reviews program enables you to support fellow scientists by sharing your firsthand experience with our products.
Login to Submit a Review

















