You have no items in your shopping cart.
NR4A2 Antibody
Description
Images & Validation
−| Tested Applications | ELISA, IHC |
|---|---|
| Dilution range | IHC: 1:20-1:200 |
| Reactivity | Human |
Key Properties
−| Antibody Type | Primary Antibody |
|---|---|
| Host | Rabbit |
| Clonality | Polyclonal |
| Isotype | IgG |
| Immunogen | nuclear receptor subfamily 4, group A, member 2 |
| Target | NR4A2 |
| Purity | ≥95% as determined by SDS-PAGE |
| Purification | Immunogen affinity purified |
| Conjugation | Unconjugated |
Storage & Handling
−| Storage | Maintain refrigerated at 2-8°C for up to 2 weeks. For long term storage store at -20°C in small aliquots to prevent freeze-thaw cycles. |
|---|---|
| Form/Appearance | liquid |
| Disclaimer | For research use only |
Similar Products
−Nurr1 Rabbit Polyclonal Antibody [orb11174]
IF, IHC-Fr, IHC-P, WB
Mouse, Rat
Human, Mouse, Rat
Rabbit
Polyclonal
Unconjugated
200 μl, 100 μl, 50 μlNurr1 Rabbit Polyclonal Antibody [orb500721]
IF, IHC-Fr, IHC-P
Mouse, Rat
Human, Mouse, Rat
Rabbit
Polyclonal
Unconjugated
200 μl, 50 μl, 100 μlNurr1 Rabbit pAb, FITC conjugated [orb464231]
FC
Bovine, Canine, Equine, Mouse, Porcine, Rat, Sheep
Human
Rabbit
Polyclonal
FITC
(Mouse) Nr4a2 Antibody (Center) [orb1926527]
IHC-P, WB
Human, Mouse, Rat
Rabbit
Polyclonal
Unconjugated
100 μl, 50 μlHuman Nuclear Receptor Related Protein 1 (NURR1) ELISA Kit [orb781280]
Human
0.32-20 ng/mL
0.119 ng/mL
96 T, 48 T

Quality Guarantee
Explore bioreagents carefree to elevate your research. All our products are rigorously tested for performance. If a product does not perform as described on its datasheet, our scientific support team will provide expert troubleshooting, a prompt replacement, or a refund. For full details, please see our Terms & Conditions and Buying Guide. Contact us at support@biorbyt.com.

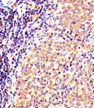
Immunohistochemistry of paraffin-embedded human gliomas tissue slide using orb629488 (Nurr1/NR4A2 antibody) at dilution of 1:200.
Quick Database Links
UniProt Details
−Documents Download
Request a Document
Protocol Information
NR4A2 Antibody (orb629488)
Participating in our Biorbyt product reviews program enables you to support fellow scientists by sharing your firsthand experience with our products.
Login to Submit a Review


























