You have no items in your shopping cart.
OVCA1 Rabbit Polyclonal Antibody
SKU: orb100855
Description
Research Area
Cancer Research, Tumor Suppressors, p53 Signaling Pathway
Images & Validation
−
| Tested Applications | ELISA, IF, IHC-Fr, IHC-P, WB |
|---|---|
| Dilution range | WB=1:500-2000, IHC-P=1:100-500, IHC-F=1:100-500, IF=1:100-500, ELISA=1:5000-10000 |
| Reactivity | Human |
| Predicted Reactivity | Bovine, Canine, Equine, Human, Mouse, Rabbit, Rat |
Related Conjugates & Formulations
−Key Properties
−| Antibody Type | Primary Antibody |
|---|---|
| Host | Rabbit |
| Clonality | Polyclonal |
| Isotype | IgG |
| Immunogen | KLH conjugated synthetic peptide derived from human OVCA1 (251-350/443aa) |
| Target | DPH1 |
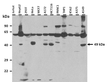
| Molecular Weight | 49 kDa |
| Purification | Affinity purified by Protein A |
| Conjugation | Unconjugated |
Storage & Handling
−| Storage | Maintain refrigerated at 2-8°C for up to 2 weeks. For long term storage store at -20°C in small aliquots to prevent freeze-thaw cycles. |
|---|---|
| Form/Appearance | Liquid |
| Buffer/Preservatives | 0.01M TBS (pH7.4) with 1% rAlbumin, 0.02% Proclin300 and 50% Glycerol. |
| Concentration | 1mg/ml |
| Disclaimer | For research use only |
Alternative Names
−Candidate tumor suppressor in ovarian cancer 1; Diphthamide biosynthesis protein 1; Diphthamide biosynthesis protein 2 homolog like 1; Diphthamide biosynthesis protein 2 like; Diptheria toxin resistance protein required for diphthamide biosynthesis(Saccharomyces) like 1; Diptheria toxin resistance protein required for diphthamide biosynthesis like 1; DPH like 1(S. cerevisiae); DPH like 1; DPH1; DPH1 homolog(S. cerevisiae); DPH1 homolog; DPH2 like 1; DPH2L; DPH2L1; HsDph1; Ovarian cancer associated gene 1; Ovarian cancer associated gene 1 protein; Ovarian tumor suppressor candidate 1; DPH1_HUMAN.
Similar Products
−DPH1 Rabbit Polyclonal Antibody [orb325708]
WB
Bovine, Canine, Equine, Guinea pig, Mouse, Rabbit, Rat, Yeast, Zebrafish
Human
Rabbit
Polyclonal
Unconjugated
100 μlDPH1 Rabbit Polyclonal Antibody [orb325709]
IHC, WB
Bovine, Canine, Equine, Guinea pig, Mouse, Rabbit, Rat, Yeast, Zebrafish
Human
Rabbit
Polyclonal
Unconjugated
100 μl

Quality Guarantee
Explore bioreagents carefree to elevate your research. All our products are rigorously tested for performance. If a product does not perform as described on its datasheet, our scientific support team will provide expert troubleshooting, a prompt replacement, or a refund. For full details, please see our Terms & Conditions and Buying Guide. Contact us at support@biorbyt.com.
Quick Database Links
Gene Symbol
DPH1
UniProt
UniProt Details
− No UniProt data available
Documents Download
Datasheet
Product Information
Request a Document
Protocol Information
WB
Western Blot (IB, immunoblot)
IHC-P
Immunohistochemistry Paraffin
IHC-Fr
Immunohistochemistry Frozen
IF
Immunofluorescence
ELISA
Enzyme-linked Immunosorbent Assay (EIA)
OVCA1 Rabbit Polyclonal Antibody (orb100855)
Based on 0 reviews
Participating in our Biorbyt product reviews program enables you to support fellow scientists by sharing your firsthand experience with our products.
Login to Submit a Review







