You have no items in your shopping cart.
V-Myb/C-Myb(Phospho-Ser11) Rabbit mAb Antibody
Description
Images & Validation
−| Tested Applications | FC, ICC, IHC, WB |
|---|---|
| Reactivity | Human |
Key Properties
−| Antibody Type | Recombinant Antibody |
|---|---|
| Host | Rabbit |
| Clonality | Monoclonal |
| Conjugation | Unconjugated |
Storage & Handling
−| Storage | Maintain refrigerated at 2-8°C for up to 2 weeks. For long term storage store at -20°C in small aliquots to prevent freeze-thaw cycles. |
|---|---|
| Expiration Date | 12 months from date of receipt. |
| Disclaimer | For research use only |

Quality Guarantee
Explore bioreagents carefree to elevate your research. All our products are rigorously tested for performance. If a product does not perform as described on its datasheet, our scientific support team will provide expert troubleshooting, a prompt replacement, or a refund. For full details, please see our Terms & Conditions and Buying Guide. Contact us at support@biorbyt.com.

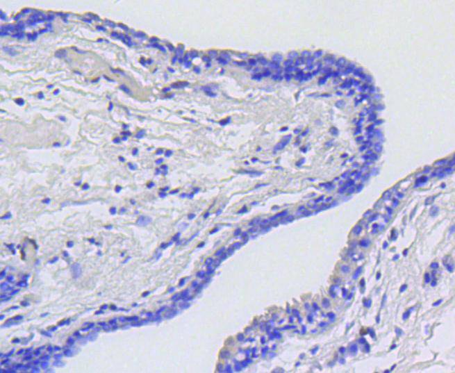
Immunohistochemical analysis of human uterine neck tissue using P-V-Myb+C-Myb (Phospho-S11) antibody.

Immunohistochemical analysis of human breast carcinoma tissue using P-V-Myb+C-Myb (Phospho-S11) antibody.

Immunofluorescence analysis of Ags cells (green) & DAPI (blue) using P-V-Myb+C-Myb (Phospho-S11) antibody.

Flow cytometric analysis of MCF-7 cells using P-V-Myb+C-Myb (Phospho-S11) antibody.
Quick Database Links
UniProt Details
−Documents Download
Request a Document
Protocol Information
V-Myb/C-Myb(Phospho-Ser11) Rabbit mAb Antibody (orb615064)
Participating in our Biorbyt product reviews program enables you to support fellow scientists by sharing your firsthand experience with our products.
Login to Submit a Review