You have no items in your shopping cart.
p44/42 MAP Kinase (Phospho-Tyr204) Antibody
Description
Images & Validation
−| Tested Applications | IF, IHC, WB |
|---|---|
| Reactivity | Human, Mouse, Rat |
Key Properties
−| Antibody Type | Primary Antibody |
|---|---|
| Host | Rabbit |
| Clonality | Polyclonal |
| Conjugation | Unconjugated |
Storage & Handling
−| Storage | Maintain refrigerated at 2-8°C for up to 2 weeks. For long term storage store at -20°C in small aliquots to prevent freeze-thaw cycles. |
|---|---|
| Expiration Date | 12 months from date of receipt. |
| Disclaimer | For research use only |
Similar Products
−p44/42 MAP Kinase (Phospho-Tyr204) Antibody [orb222996]
IHC, WB
Human, Mouse, Rat
Rabbit
Polyclonal
Unconjugated
50 μg, 25 μg, 100 μg, 200 μgp44/42 MAP Kinase (Phospho-Tyr204) Polyclonal Conjugated Antibody [orb1630983]
Human, Mouse, Rat
Rabbit
Polyclonal
Biotin
100 μlAnti-p44/42 MAP Kinase (Phospho-Tyr204) [orb1139999]
ICC, IF, IHC, WB
Human, Mouse, Rat
Rabbit
Polyclonal
Unconjugated
100 μg

Quality Guarantee
Explore bioreagents carefree to elevate your research. All our products are rigorously tested for performance. If a product does not perform as described on its datasheet, our scientific support team will provide expert troubleshooting, a prompt replacement, or a refund. For full details, please see our Terms & Conditions and Buying Guide. Contact us at support@biorbyt.com.

Confocal immunofluorescent analysis of Hela cells using p44/42 MAP Kinase(Phospho-Tyr204) antibody

Western blot analysis of p44/42 MAP Kinase(Phospho-Tyr204) antibody in 293 cells lysates

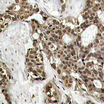
Immunohistochemical analysis of formalin-fixed and paraffin-embedded human breast carcinoma tissue using p44/42 MAP Kinase(Phospho-Tyr204) antibody
Quick Database Links
UniProt Details
−Documents Download
Request a Document
Protocol Information
p44/42 MAP Kinase (Phospho-Tyr204) Antibody (orb14936)
Participating in our Biorbyt product reviews program enables you to support fellow scientists by sharing your firsthand experience with our products.
Login to Submit a Review
