You have no items in your shopping cart.
p70 S6 Kinase (Phospho-Thr421) Antibody
Description
Images & Validation
−| Tested Applications | IF, IHC, WB |
|---|---|
| Reactivity | Human, Mouse, Rat |
Key Properties
−| Antibody Type | Primary Antibody |
|---|---|
| Host | Rabbit |
| Clonality | Polyclonal |
| Conjugation | Unconjugated |
Storage & Handling
−| Storage | Maintain refrigerated at 2-8°C for up to 2 weeks. For long term storage store at -20°C in small aliquots to prevent freeze-thaw cycles. |
|---|---|
| Expiration Date | 12 months from date of receipt. |
| Disclaimer | For research use only |
Similar Products
−p70 S6 kinase α (phospho Thr421) Polyclonal Antibody [orb1415320]
IHC-P, WB
Human, Mouse, Rat
Rabbit
Polyclonal
Unconjugated
100 μlp7S6 Kinase(Phospho-Thr421) Antibody [orb2629198]
IF, IHC, WB
Human, Mouse, Rat
Rabbit
Polyclonal
Unconjugated
p70 S6 Kinase (Phospho-Thr421) Polyclonal Conjugated Antibody [orb1630977]
Human, Mouse, Rat
Rabbit
Polyclonal
Biotin
100 μlAnti-p70 S6 Kinase (Phospho-Thr421) [orb1139992]
IHC, WB
Human, Mouse, Rat
Rabbit
Polyclonal
Unconjugated
100 μg

Quality Guarantee
Explore bioreagents carefree to elevate your research. All our products are rigorously tested for performance. If a product does not perform as described on its datasheet, our scientific support team will provide expert troubleshooting, a prompt replacement, or a refund. For full details, please see our Terms & Conditions and Buying Guide. Contact us at support@biorbyt.com.

Western blot analysis of p70 S6 Kinase(Phospho-Thr421) antibody in Jurkat cells lysates

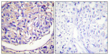
Immunohistochemical analysis of formalin-fixed and paraffin-embedded human breast carcinoma tissue using p70 S6 Kinase(Phospho-Thr421) antibody

Confocal immunofluorescent analysis of MCF cells using p70 S6 Kinase(Phospho-Thr421) antibody
Quick Database Links
UniProt Details
−Documents Download
Request a Document
Protocol Information
p70 S6 Kinase (Phospho-Thr421) Antibody (orb14943)
Participating in our Biorbyt product reviews program enables you to support fellow scientists by sharing your firsthand experience with our products.
Login to Submit a Review

