You have no items in your shopping cart.
PAR-2 polyclonal antibody
Description
Research Area
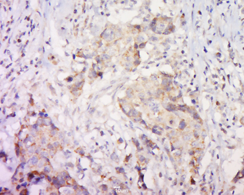
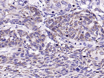
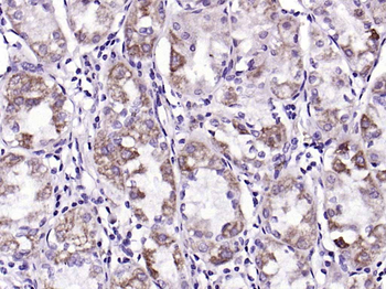
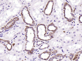
Images & Validation
−
| Tested Applications | IHC-P |
|---|---|
| Dilution Range | IHC-P=1:100-500 (), not yet tested in other applications., optimal dilutions/concentrations should be determined by the end user. |
| Reactivity | Human |
Key Properties
−| Antibody Type | Primary Antibody |
|---|---|
| Host | Rabbit |
| Clonality | Polyclonal |
| Immunogen | KLH conjugated synthetic peptide derived from human PAR-2:37-100/397 |
| Molecular Weight | ~40kDa |
| Purification | affinity purified by Protein A |
| Conjugation | Unconjugated |
Storage & Handling
−| Storage | Maintain refrigerated at 2-8°C for up to 2 weeks. For long term storage store at -20°C in small aliquots to prevent freeze-thaw cycles. |
|---|---|
| Buffer/Preservatives | 0.01M TBS(pH7.4) with 1% rAlbumin, 0.03% Proclin300 and 50% Glycerol. |
| Concentration | 1mg/ml |
| Expiration Date | 12 months from date of receipt. |
| Disclaimer | For research use only |
Alternative Names
−Similar Products
−PAR-2 Rabbit Polyclonal Antibody [orb11235]
IF, IHC-Fr, IHC-P, WB
Mouse, Rabbit
Human, Rat
Rabbit
Polyclonal
Unconjugated
50 μl, 100 μl, 200 μlPAR-2 Rabbit Polyclonal Antibody [orb704504]
IF, IHC-Fr, IHC-P, WB
Human
Rabbit
Polyclonal
Unconjugated
50 μl, 100 μl, 200 μlPXR Rabbit Polyclonal Antibody [orb6823]
FC, WB
Bovine, Equine, Porcine, Rat
Human, Mouse
Rabbit
Polyclonal
Unconjugated
100 μl, 50 μl, 200 μlPXR Rabbit Polyclonal Antibody (PE-Cy5.5) [orb899751]
FC
Bovine, Equine, Porcine, Rat
Human, Mouse
Rabbit
Polyclonal
PE/Cy5.5
100 μl

Quality Guarantee
Explore bioreagents carefree to elevate your research. All our products are rigorously tested for performance. If a product does not perform as described on its datasheet, our scientific support team will provide expert troubleshooting, a prompt replacement, or a refund. For full details, please see our Terms & Conditions and Buying Guide. Contact us at support@biorbyt.com.
Quick Database Links
UniProt Details
−Documents Download
Request a Document
PAR-2 polyclonal antibody (orb1089101)
Participating in our Biorbyt product reviews program enables you to support fellow scientists by sharing your firsthand experience with our products.
Login to Submit a Review








