You have no items in your shopping cart.
PARP1 Rabbit Polyclonal Antibody
Description
Research Area
Images & Validation
−| Tested Applications | IF, IHC, WB |
|---|---|
| Dilution Range | Western Blot 1:1000-1:1500, Immunofluorescence 1:100-1:300, Immunohistochemistry (Paraffin) 1: 100-1:150 |
| Reactivity | Human, Mouse, Rat |
Key Properties
−| Antibody Type | Primary Antibody |
|---|---|
| Host | Rabbit |
| Clonality | Polyclonal |
| Isotype | Rabbit-IgG |
| Immunogen | Synthetic peptide corresponding to residues surrounding Gly623 of human PARP. This antibody does not cross-react with PARP-2 and PARP-3. |
| Target | PARP1 |
| Conjugation | Unconjugated |
Storage & Handling
−| Storage | Maintain refrigerated at 2-8°C for up to 2 weeks. For long term storage store at -20°C in small aliquots to prevent freeze-thaw cycles. |
|---|---|
| Buffer/Preservatives | 100mM Tris Glycine, 1% rAlbumin, 20% Glycerol (pH7). 0.025% ProClin 300 was added as a preservative |
| Expiration Date | 12 months from date of receipt. |
| Disclaimer | For research use only |
Similar Products
−PARP1 Rabbit Polyclonal Antibody [orb704256]
ELISA, ICC, WB
Mouse, Rat
Human, Mouse, Rat
Rabbit
Polyclonal
Unconjugated
50 μl, 100 μlPARP/PARP1 Rabbit Polyclonal Antibody [orb234355]
FC, ICC, IF, IHC, WB
Human, Mouse, Rat
Rabbit
Polyclonal
Unconjugated
100 μgCleaved-PARP-1 (D214) Polyclonal Antibody [orb1416092]
IF, IHC-P, WB
Human, Mouse
Rabbit
Polyclonal
Unconjugated
100 μlPARP1 Rabbit Polyclonal Antibody [orb13638]
FC, WB
Bovine, Canine, Rat
Human
Rabbit
Polyclonal
Unconjugated
50 μl, 100 μl, 200 μlPARP1 Rabbit Polyclonal Antibody [orb500736]
FC, IF, IHC-Fr, IHC-P, WB
Bovine, Gallus, Mouse, Porcine, Rabbit, Rat, Sheep
Human
Rabbit
Polyclonal
Unconjugated
50 μl, 100 μl, 200 μl

Quality Guarantee
Explore bioreagents carefree to elevate your research. All our products are rigorously tested for performance. If a product does not perform as described on its datasheet, our scientific support team will provide expert troubleshooting, a prompt replacement, or a refund. For full details, please see our Terms & Conditions and Buying Guide. Contact us at support@biorbyt.com.

All lanes: Anti-PARP1 antibody - 1/1000 dilution. Lysates at 40 µg per lane. This blot was produced using a 5% SDS-PAGE. Nitrocellulose membrane was then blocked an hour before being incubated with orb1294350 overnight at 4°C.

Immunofluorescence: cells were fixed with 4% PFA for 10 min at RT, permeabilized with 0.1% NP-40 for 10 min at RT then blocked with 5% BSA for 30 min at RT. Cells were stained with orb1294350 anti-PARP cleaved antibody (red) at 1:300 and 4°C. DAPI (blue) was used as the nuclear counter stain.

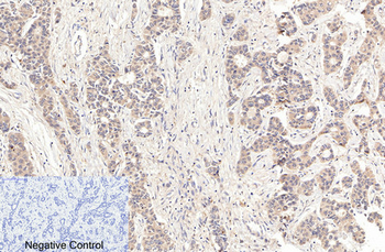
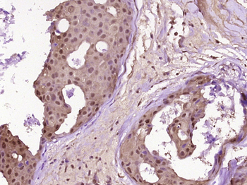
Immunohistochemical analysis of paraffin embedded Human cancer tissue labeling PARP1 cleaved with orb1294350 at 1/200.

Immunohistochemical analysis of paraffin embedded Human cancer tissue labeling PARP1 cleaved with orb1294350 at 1/200.
Quick Database Links
Documents Download
Request a Document
Protocol Information
PARP1 Rabbit Polyclonal Antibody (orb1294350)
Participating in our Biorbyt product reviews program enables you to support fellow scientists by sharing your firsthand experience with our products.
Login to Submit a Review



























