You have no items in your shopping cart.
PDCD10 Antibody
Description
Research Area
Images & Validation
−| Tested Applications | IHC, WB |
|---|---|
| Reactivity | Human, Mouse, Rat |
| Application Notes |
Key Properties
−| Antibody Type | Primary Antibody |
|---|---|
| Host | Rabbit |
| Clonality | Polyclonal |
| Isotype | IgG |
| Immunogen | Recombinant fusion protein containing a sequence corresponding to amino acids 1-212 of human PDCD10 (NP_009148.2). |
| Target | PDCD10 |
| Purification | Affinity purification |
| Conjugation | Unconjugated |
Storage & Handling
−| Storage | Maintain refrigerated at 2-8°C for up to 2 weeks. For long term storage store at -20°C in small aliquots to prevent freeze-thaw cycles. |
|---|---|
| Form/Appearance | Liquid |
| Buffer/Preservatives | PBS with 0.02% sodium azide, 50% glycerol, pH 7.3. |
| Concentration | batch dependent |
| Expiration Date | 12 months from date of receipt. |
| Disclaimer | For research use only |
Alternative Names
−Similar Products
−PDCD10 Rabbit Polyclonal Antibody [orb629741]
ELISA, IHC, IP, WB
Human, Mouse, Rat
Rabbit
Polyclonal
Unconjugated
50 μg, 100 μgPDCD10 Rabbit Polyclonal Antibody [orb101364]
IF, IHC-Fr, IHC-P
Equine, Gallus, Human, Mouse, Porcine, Rabbit
Rat
Rabbit
Polyclonal
Unconjugated
50 μl, 100 μl, 200 μl

Quality Guarantee
Explore bioreagents carefree to elevate your research. All our products are rigorously tested for performance. If a product does not perform as described on its datasheet, our scientific support team will provide expert troubleshooting, a prompt replacement, or a refund. For full details, please see our Terms & Conditions and Buying Guide. Contact us at support@biorbyt.com.

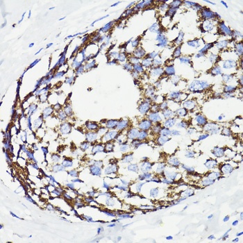
Immunohistochemistry of paraffin-embedded rat spleen using PDCD10 antibody (orb1258769) at dilution of 1:100 (40x lens).

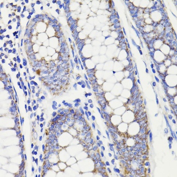
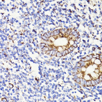
Immunohistochemistry of paraffin-embedded human colon using PDCD10 antibody (orb1258769) at dilution of 1:100 (40x lens).

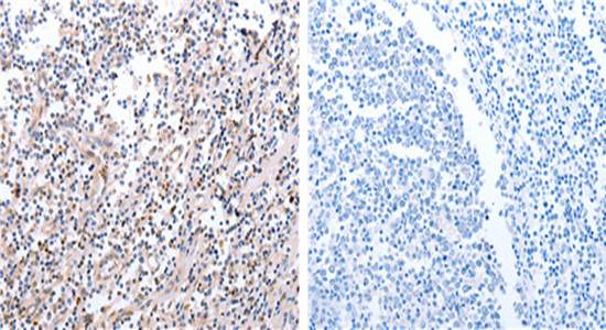
Immunohistochemistry of paraffin-embedded human colon carcinoma using PDCD10 antibody (orb1258769) at dilution of 1:100 (40x lens).

Immunohistochemistry of paraffin-embedded human appendix using PDCD10 antibody (orb1258769) at dilution of 1:100 (40x lens).

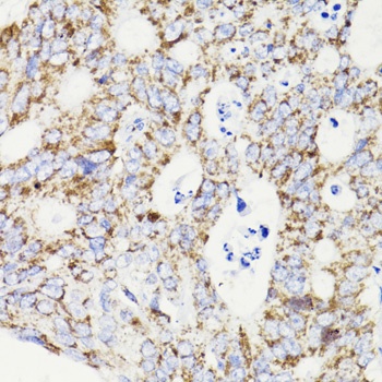
Immunohistochemistry of paraffin-embedded human breast cancer using PDCD10 antibody (orb1258769) at dilution of 1:100 (40x lens).

Immunohistochemistry of paraffin-embedded human gastric cancer using PDCD10 antibody (orb1258769) at dilution of 1:100 (40x lens).
Quick Database Links
UniProt Details
−Documents Download
Request a Document
Protocol Information
PDCD10 Antibody (orb1258769)
Participating in our Biorbyt product reviews program enables you to support fellow scientists by sharing your firsthand experience with our products.
Login to Submit a Review








