You have no items in your shopping cart.
Phospho-EIF2S1 (Ser51) Rabbit Polyclonal Antibody
Description
Research Area
Images & Validation
−| Tested Applications | IF, IHC-Fr, IHC-P, WB |
|---|---|
| Dilution Range | WB=1:500-2000, IHC-P=1:100-500, IHC-F=1:100-500, IF=1:100-500 |
| Reactivity | Mouse, Rat |
| Predicted Reactivity | Bovine, Gallus, Human |
Related Conjugates & Formulations
−Key Properties
−| Antibody Type | Primary Antibody |
|---|---|
| Host | Rabbit |
| Clonality | Polyclonal |
| Isotype | IgG |
| Immunogen | KLH conjugated synthesised phosphopeptide derived from human eIF2 alpha around the phosphorylation site of Ser51 EL(p-S)RR |
| Target | EIF2S1 |
| Molecular Weight | 36 kDa |
| Purification | Affinity purified by Protein A |
| Conjugation | Unconjugated |
Storage & Handling
−| Storage | Maintain refrigerated at 2-8°C for up to 2 weeks. For long term storage store at -20°C in small aliquots to prevent freeze-thaw cycles. |
|---|---|
| Form/Appearance | Liquid |
| Buffer/Preservatives | 0.01M TBS (pH7.4) with 1% rAlbumin, 0.02% Proclin300 and 50% Glycerol. |
| Concentration | 1mg/ml |
| Expiration Date | 12 months from date of receipt. |
| Disclaimer | For research use only |
Alternative Names
−Similar Products
−Phospho-EIF2S1 (Ser51) Rabbit Polyclonal Antibody (PE) [orb506058]
IF
Bovine, Gallus, Human
Mouse, Rat
Rabbit
Polyclonal
PE
100 μlPhospho-EIF2S1 (Ser51) Rabbit Polyclonal Antibody (FITC) [orb502926]
IF
Bovine, Gallus, Human
Mouse, Rat
Rabbit
Polyclonal
FITC
100 μlPhospho-EIF2S1 (Ser51) Rabbit Polyclonal Antibody (Biotin) [orb502536]
IF, IHC-Fr, IHC-P, WB
Bovine, Gallus, Human
Mouse, Rat
Rabbit
Polyclonal
Biotin
100 μlPhospho-EIF2S1 (Ser51) Rabbit Polyclonal Antibody (HRP) [orb504474]
IHC-Fr, IHC-P, WB
Bovine, Gallus, Human
Mouse, Rat
Rabbit
Polyclonal
HRP
100 μlPhospho-EIF2S1 (Ser51) Rabbit Polyclonal Antibody (BF750) [orb2415479]
IF
Bovine, Gallus, Human
Mouse, Rat
Rabbit
Polyclonal
BF750
100 μl

Quality Guarantee
Explore bioreagents carefree to elevate your research. All our products are rigorously tested for performance. If a product does not perform as described on its datasheet, our scientific support team will provide expert troubleshooting, a prompt replacement, or a refund. For full details, please see our Terms & Conditions and Buying Guide. Contact us at support@biorbyt.com.

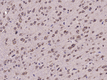
Paraformaldehyde-fixed, paraffin embedded (Mouse brain), Antigen retrieval by microwave in sodium citrate buffer (pH6.0), Block endogenous peroxidase by 3% hydrogen peroxide for 30 minutes, Blocking buffer (3% BSA) at RT for 30 min, Antibody incubation with (Phospho-eIF2 alpha (Ser51)) Polyclonal Antibody, Unconjugated (orb156711) at 1:400 overnight at 4°C, followed by conjugation to the secondary antibody (labeled with HRP) and DAB staining.

Paraformaldehyde-fixed, paraffin embedded (Rat brain), Antigen retrieval by microwave in sodium citrate buffer (pH6.0), Block endogenous peroxidase by 3% hydrogen peroxide for 30 minutes, Blocking buffer (3% BSA) at RT for 30 min, Antibody incubation with (Phospho-eIF2 alpha (Ser51)) Polyclonal Antibody, Unconjugated (orb156711) at 1:400 overnight at 4°C, followed by conjugation to the secondary antibody (labeled with HRP) and DAB staining.

Sample: Ovary (Mouse) Lysate at 40 ug, Primary: Anti-Phospho-eIF2 alpha (Ser51) (orb156711) at 1/300 dilution, Secondary: IRDye800CW Goat Anti-Rabbit IgG at 1/20000 dilution, Predicted band size: 36 kD, Observed band size: 34 kD.

Sample: Testis (Mouse) Lysate at 40 ug, Primary: Anti-Phospho-eIF2 alpha (Ser51) (orb156711) at 1/300 dilution, Secondary: IRDye800CW Goat Anti-Rabbit IgG at 1/20000 dilution, Predicted band size: 36 kD, Observed band size: 34 kD.
Quick Database Links
UniProt Details
−Documents Download
Request a Document
Protocol Information
Phospho-EIF2S1 (Ser51) Rabbit Polyclonal Antibody (orb156711)
Participating in our Biorbyt product reviews program enables you to support fellow scientists by sharing your firsthand experience with our products.
Login to Submit a Review