You have no items in your shopping cart.
Phospho-HDAC4 (Ser246) Rabbit Polyclonal Antibody
Description
Research Area
Images & Validation
−| Tested Applications | IF, IHC-Fr, IHC-P, WB |
|---|---|
| Dilution Range | WB=1:500-2000, IHC-P=1:100-500, IHC-F=1:100-500, IF=1:100-500 |
| Reactivity | Human |
| Predicted Reactivity | Bovine, Equine, Gallus, Mouse, Rabbit, Rat |
Related Conjugates & Formulations
−Key Properties
−| Antibody Type | Primary Antibody |
|---|---|
| Host | Rabbit |
| Clonality | Polyclonal |
| Isotype | IgG |
| Immunogen | KLH conjugated synthesised phosphopeptide derived from human HDAC4 around the phosphorylation site of Ser246 TA(p-S)EP |
| Target | HDAC4 |
| Molecular Weight | 119 kDa |
| Purification | Affinity purified by Protein A |
| Conjugation | Unconjugated |
Storage & Handling
−| Storage | Maintain refrigerated at 2-8°C for up to 2 weeks. For long term storage store at -20°C in small aliquots to prevent freeze-thaw cycles. |
|---|---|
| Form/Appearance | Liquid |
| Buffer/Preservatives | 0.01M TBS (pH7.4) with 1% rAlbumin, 0.02% Proclin300 and 50% Glycerol. |
| Concentration | 1mg/ml |
| Expiration Date | 12 months from date of receipt. |
| Disclaimer | For research use only |
Alternative Names
−Similar Products
−Phospho-HDAC4 (Ser246) + HDAC5 (Ser259) + HDAC7 (Ser155) Rabbit Polyclonal Antibody [orb6132]
IF, IHC-Fr, IHC-P, WB
Bovine, Equine, Gallus, Rabbit, Rat
Human, Mouse
Rabbit
Polyclonal
Unconjugated
50 μl, 100 μl, 200 μlPhospho-HDAC4 (Ser246) + HDAC5 (Ser259) + HDAC7 (Ser155) Rabbit Polyclonal Antibody (HRP) [orb503463]
IHC-Fr, IHC-P, WB
Bovine, Equine, Gallus, Rabbit, Rat
Human, Mouse
Rabbit
Polyclonal
HRP
100 μlPhospho-HDAC4 (Ser246) + HDAC5 (Ser259) + HDAC7 (Ser155) Rabbit Polyclonal Antibody (Biotin) [orb501534]
IF, IHC-Fr, IHC-P, WB
Bovine, Equine, Gallus, Rabbit, Rat
Human, Mouse
Rabbit
Polyclonal
Biotin
100 μlPhospho-HDAC4 (Ser246) Rabbit Polyclonal Antibody (FITC) [orb502778]
IF
Bovine, Equine, Gallus, Mouse, Rabbit, Rat
Human
Rabbit
Polyclonal
FITC
100 μlPhospho-HDAC4 (Ser246) Rabbit Polyclonal Antibody (Biotin) [orb501961]
IF, IHC-Fr, IHC-P, WB
Bovine, Equine, Gallus, Mouse, Rabbit, Rat
Human
Rabbit
Polyclonal
Biotin
100 μl

Quality Guarantee
Explore bioreagents carefree to elevate your research. All our products are rigorously tested for performance. If a product does not perform as described on its datasheet, our scientific support team will provide expert troubleshooting, a prompt replacement, or a refund. For full details, please see our Terms & Conditions and Buying Guide. Contact us at support@biorbyt.com.

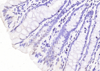
Paraformaldehyde-fixed, paraffin embedded (Human colon cancer), Antigen retrieval by boiling in sodium citrate buffer (pH6.0) for 15 min, Block endogenous peroxidase by 3% hydrogen peroxide for 20 minutes, Blocking buffer (normal goat serum) at 37°C for 30 min, Antibody incubation with (Phospho-HDAC4 (Ser246)) Polyclonal Antibody, Unconjugated (orb157455) at 1:200 overnight at 4°C, followed by operating according to SP Kit (Rabbit) instructions and DAB staining.

Sample: Hela (Human) Cell Lysate at 30 ug, 293T (Human) Cell Lysate at 30 ug, Primary: Anti-Phospho-HDAC4 (Ser246) (orb157455) at 1/1000 dilution, Secondary: IRDye800CW Goat Anti-Rabbit IgG at 1/20000 dilution, Predicted band size: 119 kD, Observed band size: 119 kD.
Quick Database Links
UniProt Details
−Documents Download
Request a Document
Protocol Information
Phospho-HDAC4 (Ser246) Rabbit Polyclonal Antibody (orb157455)
Participating in our Biorbyt product reviews program enables you to support fellow scientists by sharing your firsthand experience with our products.
Login to Submit a Review


