You have no items in your shopping cart.
PKC δ (Phospho-Ser645) Antibody
Description
Research Area
Images & Validation
−| Tested Applications | IHC, WB |
|---|---|
| Dilution Range | WB: 1:500-1:3000, IHC-P: 1:50-1:100, ELISA: 1:10000 |
| Reactivity | Human |
Key Properties
−| Host | Rabbit |
|---|---|
| Clonality | Polyclonal |
| Immunogen | C-terminal |
| Conjugation | Unconjugated |
Storage & Handling
−| Storage | Maintain refrigerated at 2-8°C for up to 2 weeks. For long term storage store at -20°C in small aliquots to prevent freeze-thaw cycles. |
|---|---|
| Concentration | 1mg/ml |
| Expiration Date | 12 months from date of receipt. |
| Disclaimer | For research use only |
Alternative Names
−Similar Products
−Phospho-PKC delta (Ser645) Rabbit Polyclonal Antibody [orb6753]
FC, IF, IHC-Fr, IHC-P
Mouse, Rat
Human, Mouse, Rat
Rabbit
Polyclonal
Unconjugated
50 μl, 100 μl, 200 μlPKC δ (phospho Ser645) rabbit pAb Antibody [orb764377]
ELISA, IF, IHC, WB
Human, Monkey
Polyclonal
Unconjugated
100 μlPhospho-PKC delta (Ser645) Rabbit Polyclonal Antibody (HRP) [orb503050]
IHC-Fr, IHC-P
Human, Mouse, Rat
Rabbit
Polyclonal
HRP
100 μlPhospho-PKC delta (Ser645) Rabbit Polyclonal Antibody (Biotin) [orb501123]
FC, IF, IHC-Fr, IHC-P
Human, Mouse, Rat
Rabbit
Polyclonal
Biotin
100 μlPhospho-PKC delta (Ser645) Rabbit Polyclonal Antibody (PE) [orb504621]
FC, IF
Human, Mouse, Rat
Rabbit
Polyclonal
PE
100 μl

Quality Guarantee
Explore bioreagents carefree to elevate your research. All our products are rigorously tested for performance. If a product does not perform as described on its datasheet, our scientific support team will provide expert troubleshooting, a prompt replacement, or a refund. For full details, please see our Terms & Conditions and Buying Guide. Contact us at support@biorbyt.com.

Western blot analysis of COS7 cells and A549 cells using PKCδ (phospho-Ser645) antibody.

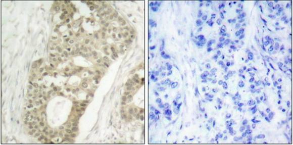
Immunohistochemical analysis of human breast carcinoma tissue using PKCδ (phospho-Ser645) antibody.
Quick Database Links
UniProt Details
−Documents Download
Request a Document
Protocol Information
PKC δ (Phospho-Ser645) Antibody (orb223083)
Participating in our Biorbyt product reviews program enables you to support fellow scientists by sharing your firsthand experience with our products.
Login to Submit a Review












