You have no items in your shopping cart.
PKCβ (Phospho-Thr641) Antibody
Description
Images & Validation
−| Tested Applications | IF, IHC, WB |
|---|---|
| Reactivity | Human, Mouse, Rat |
Key Properties
−| Antibody Type | Primary Antibody |
|---|---|
| Host | Rabbit |
| Clonality | Polyclonal |
| Conjugation | Unconjugated |
Storage & Handling
−| Storage | Maintain refrigerated at 2-8°C for up to 2 weeks. For long term storage store at -20°C in small aliquots to prevent freeze-thaw cycles. |
|---|---|
| Expiration Date | 12 months from date of receipt. |
| Disclaimer | For research use only |
Similar Products
−PKCβ (Phospho-Thr641) Polyclonal Conjugated Antibody [orb1631033]
Human, Mouse, Rat
Rabbit
Polyclonal
Biotin
100 μl

Quality Guarantee
Explore bioreagents carefree to elevate your research. All our products are rigorously tested for performance. If a product does not perform as described on its datasheet, our scientific support team will provide expert troubleshooting, a prompt replacement, or a refund. For full details, please see our Terms & Conditions and Buying Guide. Contact us at support@biorbyt.com.

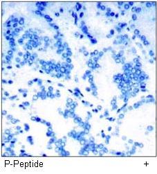
Immunohistochemical analysis of paraffin-embedded human lung carcinoma tissue, using PKC beta (phospho-Thr641) antibody

Immunohistochemical analysis of paraffin-embedded human lung carcinoma tissue, using PKC beta (phospho-Thr641) antibody

Western blot analysis of extracts from K562 cells, untreated or treated with PMA (1ng/ml, 10min), using PKC beta antibody (Lane 1 and 2) and PKC beta (phospho-Thr641) antibody (orb14883, Lane 3 and 4)

Immunofluorescence staining of methanol-fixed MCF7 cells using PKC beta (phospho-Thr641) antibody (Red)
Quick Database Links
UniProt Details
−Documents Download
Request a Document
Protocol Information
PKCβ (Phospho-Thr641) Antibody (orb14883)
Participating in our Biorbyt product reviews program enables you to support fellow scientists by sharing your firsthand experience with our products.
Login to Submit a Review