You have no items in your shopping cart.
PKR (Phospho-Thr446) Antibody
Description
Images & Validation
−| Tested Applications | WB |
|---|---|
| Reactivity | Human, Mouse, Rat |
Key Properties
−| Antibody Type | Primary Antibody |
|---|---|
| Host | Rabbit |
| Clonality | Polyclonal |
| Conjugation | Unconjugated |
Storage & Handling
−| Storage | Maintain refrigerated at 2-8°C for up to 2 weeks. For long term storage store at -20°C in small aliquots to prevent freeze-thaw cycles. |
|---|---|
| Expiration Date | 12 months from date of receipt. |
| Disclaimer | For research use only |
Similar Products
−Phospho-PKR (Thr446) Recombinant Rabbit Monoclonal Antibody [orb559134]
IF, IHC-Fr, IHC-P, WB
Mouse, Rat
Human
Rabbit
Recombinant
Unconjugated
50 μl, 100 μlPhospho-PKR (Thr446) Rabbit Polyclonal Antibody [orb6784]
FC, IF, IHC-Fr, IHC-P, WB
Mouse
Human, Rat
Rabbit
Polyclonal
Unconjugated
50 μl, 100 μl, 200 μlPKR (phospho Thr446) rabbit pAb Antibody [orb769711]
ELISA, WB
Human, Mouse, Rat
Polyclonal
Unconjugated
100 μl, 50 μlPKR (Phospho-Thr446) Rabbit mAb Antibody [orb1727803]
ICC, IHC, WB
Human
Rabbit
Monoclonal
Unconjugated
100 μl, 50 μlPKR (Phospho-Thr446) Antibody [orb223085]
WB
Human
Rabbit
Polyclonal
Unconjugated
50 μg, 25 μg, 100 μg, 200 μg

Quality Guarantee
Explore bioreagents carefree to elevate your research. All our products are rigorously tested for performance. If a product does not perform as described on its datasheet, our scientific support team will provide expert troubleshooting, a prompt replacement, or a refund. For full details, please see our Terms & Conditions and Buying Guide. Contact us at support@biorbyt.com.

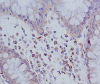
Immunohistochemical analysis of formalin-fixed and paraffin-embedded human colon carcinoma tissue using PKR(Phospho-Thr446) antibody

Western blot analysis of PKR(Phospho-Thr446) antibody in K562 cells lysates

Confocal immunofluorescent analysis of Hela cells using PKR(Phospho-Thr446) antibody
Quick Database Links
UniProt Details
−Documents Download
Request a Document
PKR (Phospho-Thr446) Antibody (orb14961)
Participating in our Biorbyt product reviews program enables you to support fellow scientists by sharing your firsthand experience with our products.
Login to Submit a Review














