You have no items in your shopping cart.
PLK4 Antibody
Description
Research Area
Images & Validation
−| Tested Applications | IHC, WB |
|---|---|
| Reactivity | Human, Mouse, Rat |
| Application Notes |
Key Properties
−| Antibody Type | Primary Antibody |
|---|---|
| Host | Rabbit |
| Clonality | Polyclonal |
| Isotype | IgG |
| Immunogen | Recombinant fusion protein containing a sequence corresponding to amino acids 641-970 of human PLK4 (NP_055079.3). |
| Target | PLK4 |
| Molecular Weight | Observed: 115kDa |
| Purification | Affinity purification |
| Conjugation | Unconjugated |
Storage & Handling
−| Storage | Maintain refrigerated at 2-8°C for up to 2 weeks. For long term storage store at -20°C in small aliquots to prevent freeze-thaw cycles. |
|---|---|
| Form/Appearance | Liquid |
| Buffer/Preservatives | PBS with 0.02% sodium azide, 50% glycerol, pH 7.3. |
| Concentration | batch dependent |
| Expiration Date | 12 months from date of receipt. |
| Disclaimer | For research use only |
Alternative Names
−Similar Products
−PLK4 Rabbit Polyclonal Antibody [orb100623]
ELISA, ICC, IF, IHC-P, WB
Bovine, Canine, Equine, Human, Mouse, Porcine, Rat
Rabbit
Polyclonal
Unconjugated
100 μgSTK18 Rabbit Polyclonal Antibody [orb1974732]
FC, WB
Bovine, Canine, Equine, Mouse, Porcine, Rabbit, Rat
Human
Rabbit
Polyclonal
Unconjugated
50 μl, 100 μl, 200 μl

Quality Guarantee
Explore bioreagents carefree to elevate your research. All our products are rigorously tested for performance. If a product does not perform as described on its datasheet, our scientific support team will provide expert troubleshooting, a prompt replacement, or a refund. For full details, please see our Terms & Conditions and Buying Guide. Contact us at support@biorbyt.com.

Western blot analysis of extracts of various cell lines, using PLK4 antibody (orb1255543) at 1:1000 dilution. Secondary antibody: HRP Goat Anti-Rabbit IgG (H+L) at 1:10000 dilution. Lysates/proteins: 25 ug per lane. Blocking buffer: 3% nonfat dry milk in TBST. Detection: ECL Basic Kit. Exposure time: 15s.

Immunohistochemistry of paraffin-embedded rat lung using PLK4 antibody (orb1255543) at dilution of 1:100 (40x lens).

Immunohistochemistry of paraffin-embedded rat brain using PLK4 antibody (orb1255543) at dilution of 1:100 (40x lens).

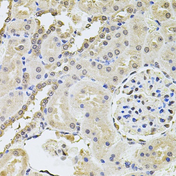
Immunohistochemistry of paraffin-embedded rat kidney using PLK4 antibody (orb1255543) at dilution of 1:100 (40x lens).

Immunohistochemistry of paraffin-embedded human lung using PLK4 antibody (orb1255543) at dilution of 1:100 (20x lens).

Immunohistochemistry of paraffin-embedded human prostate using PLK4 antibody (orb1255543) at dilution of 1:100 (40x lens).

Immunohistochemistry of paraffin-embedded human esophagus using PLK4 antibody (orb1255543) at dilution of 1:100 (40x lens).

Immunohistochemistry of paraffin-embedded human stomach using PLK4 antibody (orb1255543) at dilution of 1:100 (40x lens).

Immunohistochemistry of paraffin-embedded mouse liver using PLK4 antibody (orb1255543) at dilution of 1:100 (40x lens).
Quick Database Links
UniProt Details
−Documents Download
Request a Document
Protocol Information
PLK4 Antibody (orb1255543)
Participating in our Biorbyt product reviews program enables you to support fellow scientists by sharing your firsthand experience with our products.
Login to Submit a Review








