You have no items in your shopping cart.
PRMT1 Antibody
Description
Research Area
Images & Validation
−| Tested Applications | ELISA, IF, IHC |
|---|---|
| Dilution range | IHC-P:1:20-200, IF:1:50-200 |
| Reactivity | Human |
Key Properties
−| Host | Rabbit |
|---|---|
| Clonality | Polyclonal |
| Isotype | IgG |
| Immunogen | Recombinant Human Protein arginine N-methyltransferase 1 protein (1-248AA) |
| Target | PRMT1 |
| Purification | >95%, Protein G purified |
| Conjugation | Unconjugated |
Storage & Handling
−| Storage | Maintain refrigerated at 2-8°C for up to 2 weeks. For long term storage store at -20°C in small aliquots to prevent freeze-thaw cycles. |
|---|---|
| Form/Appearance | Liquid |
| Buffer/Preservatives | Preservative: 0.03% Proclin 300. Constituents: 50% Glycerol |
| Disclaimer | For research use only |
Alternative Names
−Similar Products
−C1orf77/FOP/CHTOP Antibody [orb1152360]
FC, IHC, WB
Human, Monkey, Mouse, Rat
Rabbit
Polyclonal
Unconjugated
100 μgQKI Antibody / Protein Quaking [orb2634781]
ELISA, FACS, IF, WB
Human
Mouse
Monoclonal
Unconjugated
100 μgQKI Antibody / Protein Quaking [orb2634782]
ELISA, FACS, IF, WB
Human
Mouse
Monoclonal
Unconjugated
100 μg, 20 μgHuman Protein Arginine Methyltransferase 1 (PRMT1) ELISA Kit [orb779448]
Human
0.32-20 ng/mL
0.112 ng/mL
96 T, 48 T

Quality Guarantee
Explore bioreagents carefree to elevate your research. All our products are rigorously tested for performance. If a product does not perform as described on its datasheet, our scientific support team will provide expert troubleshooting, a prompt replacement, or a refund. For full details, please see our Terms & Conditions and Buying Guide. Contact us at support@biorbyt.com.

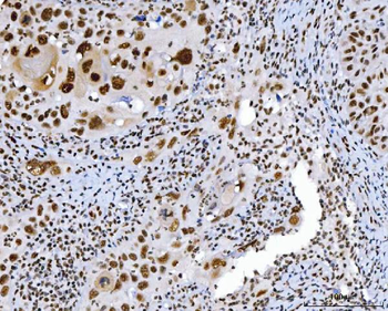
Immunohistochemistry of paraffin-embedded human brain tissue using PRMT1 antibody

Immunofluorescence staining of Hela cells using PRMT1 antibody
Quick Database Links
UniProt Details
−Documents Download
Request a Document
Protocol Information
PRMT1 Antibody (orb52010)
Participating in our Biorbyt product reviews program enables you to support fellow scientists by sharing your firsthand experience with our products.
Login to Submit a Review































