You have no items in your shopping cart.
- Featured
CD3 ζ rabbit pAb Antibody [orb770859]Featured
ELISA, IF, IHC, WB
Human, Monkey, Mouse, Rat
Polyclonal
Unconjugated
100 μl, 50 μl - Featured
Featured
Greater than 85% as determined by SDS-PAGE.
40.8 kDa
Mammalian cell
20 μg, 1 mg, 100 μg - CD3E Antibody [orb388830]
FC, IF, WB
Bovine, Equine, Gallus, Guinea pig, Human, Porcine, Rabbit, Rat
Mouse
Monoclonal
Unconjugated
20 μg, 100 μg, 100 μg (without BSA and Azide) - CD3E Antibody [orb2310189]
IHC, WB
Human
Mouse
Monoclonal
Unconjugated
100 μg, 20 μg, 100 μg (without BSA and Azide) - CD3G Antibody [orb198490]
ELISA, WB
Human
Bovine, Canine, Mouse, Porcine, Rat
Goat
Polyclonal
Unconjugated
100 μg










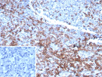
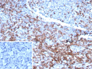
![Anti-Gamma Delta TCR [G5-4]](/images/pub/media/catalog/product/NewWebsite/35/orb2645579_1.png)