You have no items in your shopping cart.
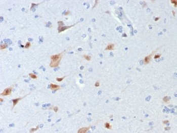
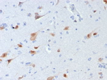
- NeuN Antibody [orb1474771]Featured

WB
Human, Mouse, Rat
Rabbit
Polyclonal
Unconjugated
200 μl, 100 μl, 30 μl, 50 μl - NeuN Rabbit Polyclonal Antibody (FITC) [orb187808]
FC, ICC, IF
Human, Rat
Bovine, Equine, Insect, Mouse, Sheep
Rabbit
Polyclonal
FITC
100 μl - Recombinant human NeuN protein, GST & His [orb1516723]Featured

>95% as determined by SDS-PAGE
47 kDa
100 μg, 500 μg, 20 μg









