You have no items in your shopping cart.
PTK2 Antibody
Description
Research Area
Images & Validation
−| Tested Applications | ELISA, IHC, WB |
|---|---|
| Dilution Range | WB: 1: 500-1: 1000, IHC-P: 1: 50-1: 200 |
| Reactivity | Human, Mouse, Rat |
Key Properties
−| Host | Rabbit |
|---|---|
| Clonality | Polyclonal |
| Isotype | IgG |
| Immunogen | Peptide sequence around aa. 859~863 (H-I-Y-Q-P) derived from Human FAK. |
| Target | PTK2 |
| Purification | Antibodies were produced by immunizing rabbits with synthetic peptide and KLH conjugates. Antibodies were purified by affinity-chromatography using epitope-specific peptide. |
| Conjugation | Unconjugated |
Storage & Handling
−| Storage | Maintain refrigerated at 2-8°C for up to 2 weeks. For long term storage store at -20°C in small aliquots to prevent freeze-thaw cycles. |
|---|---|
| Form/Appearance | liquid |
| Buffer/Preservatives | Supplied at 1.0mg/mL in phosphate buffered saline (without Mg2+ and Ca2+), pH 7.4, 150mM NaCl, 0.02% sodium azide and 50% glycerol. |
| Expiration Date | 12 months from date of receipt. |
| Disclaimer | For research use only |
Alternative Names
−Similar Products
−Phospho-FAK (Tyr925) Rabbit Polyclonal Antibody [orb5215]
FC, IF, IHC-Fr, IHC-P, WB
Bovine, Canine, Equine, Gallus, Rabbit
Human, Mouse, Rat
Rabbit
Polyclonal
Unconjugated
50 μl, 100 μl, 200 μlPhospho-FAK (Tyr397) Rabbit Polyclonal Antibody [orb106222]
ICC, IF, IHC-Fr, IHC-P, WB
Bovine, Canine, Equine, Gallus, Rabbit
Human, Mouse, Rat
Rabbit
Polyclonal
Unconjugated
50 μl, 200 μl, 100 μlPTK2 Antibody (Center) [orb1928396]
FC, IF, IHC-P, WB
Gallus, Rat
Human
Rabbit
Polyclonal
Unconjugated
100 μl, 50 μlFAK Polyclonal Antibody [orb1413766]
IF, IHC-P, WB
Human, Mouse, Rat
Rabbit
Polyclonal
Unconjugated
100 μl

Quality Guarantee
Explore bioreagents carefree to elevate your research. All our products are rigorously tested for performance. If a product does not perform as described on its datasheet, our scientific support team will provide expert troubleshooting, a prompt replacement, or a refund. For full details, please see our Terms & Conditions and Buying Guide. Contact us at support@biorbyt.com.

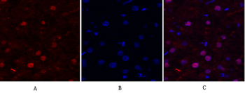
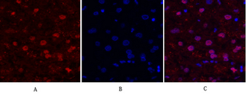
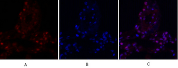
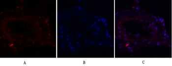
Immunohistochemical staining of Human Lung Carcinoma Tissue using PTK2 (Ab-861) antibody

Western blot analysis of HT29, Hela and 293 cells using PTK2 (Ab-861) antibody
Quick Database Links
UniProt Details
−Documents Download
Request a Document
Protocol Information
PTK2 Antibody (orb684662)
Participating in our Biorbyt product reviews program enables you to support fellow scientists by sharing your firsthand experience with our products.
Login to Submit a Review




























