You have no items in your shopping cart.
PYK2 (Phospho-Tyr579) Antibody
Description
Research Area
Images & Validation
−| Tested Applications | IHC, WB |
|---|---|
| Dilution Range | WB: 1:500-1:3000, IHC-P: 1:50-1:100, ELISA: 1:20000 |
| Reactivity | Human, Mouse, Rat |
Key Properties
−| Host | Rabbit |
|---|---|
| Clonality | Polyclonal |
| Immunogen | Internal |
| Conjugation | Unconjugated |
Storage & Handling
−| Storage | Maintain refrigerated at 2-8°C for up to 2 weeks. For long term storage store at -20°C in small aliquots to prevent freeze-thaw cycles. |
|---|---|
| Concentration | 1mg/ml |
| Expiration Date | 12 months from date of receipt. |
| Disclaimer | For research use only |
Similar Products
−PYK2 (phospho Tyr579) Polyclonal Antibody [orb1414989]
IHC-P, WB
Human, Mouse, Rat
Rabbit
Polyclonal
Unconjugated
100 μlPYK2 (Phospho-Tyr579) Antibody [orb191622]
IHC, WB
Human, Mouse
Rabbit
Polyclonal
Unconjugated
50 μl, 100 μlPYK2 (Phospho-Tyr579) Polyclonal Conjugated Antibody [orb1630778]
Human, Mouse
Rabbit
Polyclonal
Biotin
100 μl

Quality Guarantee
Explore bioreagents carefree to elevate your research. All our products are rigorously tested for performance. If a product does not perform as described on its datasheet, our scientific support team will provide expert troubleshooting, a prompt replacement, or a refund. For full details, please see our Terms & Conditions and Buying Guide. Contact us at support@biorbyt.com.
_antibody_orb128596_wb_1.jpg)
Western blot analysis of extracts from 3T3 cells using PYK2 (phospho-Tyr579) antibody
_antibody_orb128596_wb_2.jpg)
Western blot analysis of extracts from 3T3 cells (Lane 1) and HepG2 cells (Lane 2) using PYK2 (phospho-Tyr579) antibody
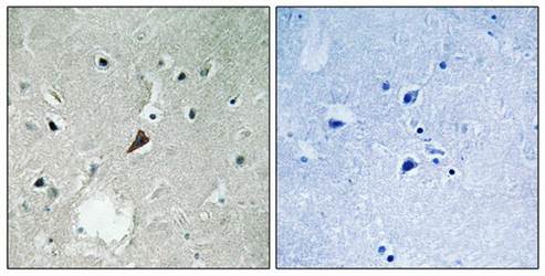
_antibody_orb128596_ihc_p_1.jpg)
Immunohistochemical analysis of formalin-fixed and paraffin-embedded human brain tissue using PYK2 (phospho-Tyr579) antibody
Quick Database Links
UniProt Details
−Documents Download
Request a Document
Protocol Information
PYK2 (Phospho-Tyr579) Antibody (orb128596)
Participating in our Biorbyt product reviews program enables you to support fellow scientists by sharing your firsthand experience with our products.
Login to Submit a Review
