You have no items in your shopping cart.
RAB34 Antibody
Description
Research Area
Images & Validation
−| Tested Applications | ELISA, IHC, WB |
|---|---|
| Dilution Range | WB: 1:1000-1:10000; IP: 1:200-1:2000; IHC: 1:50-1:500 |
| Reactivity | Human, Mouse, Rat |
Key Properties
−| Antibody Type | Primary Antibody |
|---|---|
| Host | Rabbit |
| Clonality | Polyclonal |
| Isotype | IgG |
| Immunogen | RAB34, member RAS oncogene family |
| Target | RAB34 |
| Purity | ≥95% as determined by SDS-PAGE |
| Purification | Immunogen affinity purified |
| Conjugation | Unconjugated |
Storage & Handling
−| Storage | Maintain refrigerated at 2-8°C for up to 2 weeks. For long term storage store at -20°C in small aliquots to prevent freeze-thaw cycles. |
|---|---|
| Form/Appearance | liquid |
| Expiration Date | 12 months from date of receipt. |
| Disclaimer | For research use only |
Alternative Names
−Similar Products
−Rab 34 rabbit pAb Antibody [orb766165]
ELISA, IF, IHC, WB
Human, Mouse, Rat
Recombinant
Unconjugated
100 μl, 50 μlRAB34 Rabbit Polyclonal Antibody [orb584725]
WB
Bovine, Canine, Equine, Guinea pig, Mouse, Rabbit, Rat
Human
Rabbit
Polyclonal
Unconjugated
100 μlRAB34 Antibody [orb318903]
IHC, WB
Human, Rat
Rabbit
Polyclonal
Unconjugated
30 μl, 100 μl, 200 μl, 50 μlRAB34 Rabbit Polyclonal Antibody [orb1676483]
ELISA, FC, WB
Human, Mouse, Rat
Rabbit
Polyclonal
Unconjugated
100 μg

Quality Guarantee
Explore bioreagents carefree to elevate your research. All our products are rigorously tested for performance. If a product does not perform as described on its datasheet, our scientific support team will provide expert troubleshooting, a prompt replacement, or a refund. For full details, please see our Terms & Conditions and Buying Guide. Contact us at support@biorbyt.com.

mouse brain tissue were subjected to SDS PAGE followed by western blot with orb630429 (RAB39 Antibody) at dilution of 1:2000.

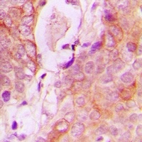
Immunohistochemistry of paraffin-embedded human ovary tissue slide using orb630429 (RAB39 Antibody) at dilution of 1:200. heat mediated antigen retrieved with Tris-EDTA buffer (pH9).
Quick Database Links
UniProt Details
−Documents Download
Request a Document
Protocol Information
RAB34 Antibody (orb630429)
Participating in our Biorbyt product reviews program enables you to support fellow scientists by sharing your firsthand experience with our products.
Login to Submit a Review










