You have no items in your shopping cart.
Rabbit Cul4a Antibody
Description
Images & Validation
−| Tested Applications | IHC, IP, WB |
|---|---|
| Dilution Range | WB - 1:10,000 - 1:25,000; IP - 2 - 5 µg/mg lysate; IHC - 1:1,000 to 1:5,000. Epitope retrieval with citrate buffer pH6.0 is recommended for FFPE tissue sections. |
| Reactivity | Human, Mouse |
| Application Notes |
Key Properties
−| Antibody Type | Primary Antibody |
|---|---|
| Host | Rabbit |
| Clonality | Polyclonal |
| Isotype | IgG |
| Immunogen | Between 709 and C-terminus |
| Target | Cul4a |
| Purification | Antigen Affinity Purified |
| Conjugation | Unconjugated |
Storage & Handling
−| Storage | 2 - 8°C |
|---|---|
| Form/Appearance | Liquid |
| Buffer/Preservatives | Tris-citrate/phosphate buffer, pH 7 to 8 containing 0.09% Sodium Azide |
| Concentration | 1000 µg/ml |
| Expiration Date | 12 months from date of receipt. |
| Disclaimer | For research use only |
Alternative Names
−Similar Products
−CUL4A Rabbit Polyclonal Antibody [orb585081]
IHC, WB
Bovine, Canine, Equine, Guinea pig, Mouse, Rabbit, Rat
Human
Rabbit
Polyclonal
Unconjugated
100 μlCUL4A Specific Rabbit Polyclonal Antibody [orb394934]
ELISA, IF, IHC, WB
Human, Mouse, Rat
Rabbit
Polyclonal
Unconjugated
50 μg, 100 μgCullin 4a/CUL4A Rabbit Polyclonal Antibody [orb413070]
ELISA, WB
Human, Mouse, Rat
Rabbit
Polyclonal
Unconjugated
100 μgCUL4A Rabbit Polyclonal Antibody [orb626124]
ELISA, IHC
Human
Rabbit
Polyclonal
Unconjugated
50 μg, 100 μgCUL4A Rabbit Polyclonal Antibody [orb2954130]
ELISA, IHC, WB
Human, Mouse
Rabbit
Polyclonal
Unconjugated
50 μg, 100 μg

Quality Guarantee
Explore bioreagents carefree to elevate your research. All our products are rigorously tested for performance. If a product does not perform as described on its datasheet, our scientific support team will provide expert troubleshooting, a prompt replacement, or a refund. For full details, please see our Terms & Conditions and Buying Guide. Contact us at support@biorbyt.com.

Detection of mouse Cul4A by western blot.Samples: Whole cell lysate from NIH 3T3, CT26, CH27, BW5147.3, and TCMK-1 cells. Antibody: Affinity purified rabbit anti-Cul4A antibody at 0.04 µg/ml.

Detection of human Cul4A by western blot.Samples: Whole cell lysate from HeLa, HEK293T, Jurkat, MCF-7, and Hep-G2 cells. Antibody: Affinity purified rabbit anti-Cul4A antibody at 0.04 µg/ml.

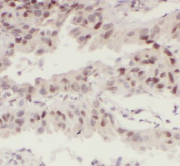
Detection of human Cul4a by immunohistochemistry.Samples: FFPE section of human breast carcinoma. Antibody: Affinity purified rabbit anti-Cul4a used at a dilution of 1:5, 000 (0.2µg/ml).

Detection of human Cul4A by western blot of immunoprecipitates.Samples: Whole cell lysate from HeLa cells. Antibodies: Affinity purified rabbit anti-Cul4A antibody.
Quick Database Links
UniProt Details
−NCBI Reference Sequences
−| Protein | NP_001008895.1 |
|---|
Documents Download
Request a Document
Protocol Information
Rabbit Cul4a Antibody (orb1529711)
Participating in our Biorbyt product reviews program enables you to support fellow scientists by sharing your firsthand experience with our products.
Login to Submit a Review








