You have no items in your shopping cart.
Rabbit Phospho MEK1(T286) Antibody
Description
Research Area
Images & Validation
−| Tested Applications | IHC, IP |
|---|---|
| Dilution Range | WB - Not recommended; however this product has been shown to perform in western blot on immunoprecipitated MEK1; IP - 2 - 10 µg/mg lysate; IHC - 1:1,000 - 1:5,000. Epitope retrieval with citrate buffer pH 6.0 is recommended for FFPE tissue sections. |
| Reactivity | Human, Mouse |
| Predicted Reactivity | Rabbit, Rat |
| Application Notes |
Key Properties
−| Antibody Type | Primary Antibody |
|---|---|
| Host | Rabbit |
| Clonality | Polyclonal |
| Isotype | IgG |
| Immunogen | Surrounding threonine 286 |
| Target | MEK1 Phospho (T286) |
| Purification | Antigen Affinity Purified |
| Conjugation | Unconjugated |
Storage & Handling
−| Storage | 2 - 8°C |
|---|---|
| Form/Appearance | Liquid |
| Buffer/Preservatives | Tris-citrate/phosphate buffer, pH 7 to 8 containing 0.09% Sodium Azide |
| Concentration | 1000 µg/ml |
| Expiration Date | 12 months from date of receipt. |
| Disclaimer | For research use only |
Alternative Names
−Similar Products
−Phospho-MEK1 (Thr286) Rabbit Polyclonal Antibody [orb5170]
IF, IHC-Fr, IHC-P
Bovine, Human, Porcine, Rabbit
Mouse, Rat
Rabbit
Polyclonal
Unconjugated
50 μl, 100 μl, 200 μlPhospho-MEK1-T286 polyclonal antibody [orb646455]
WB
Human, Mouse, Rat
Rabbit
Polyclonal
Unconjugated
50 μl, 200 μl, 100 μlPhospho-MEK1 (Thr286) Rabbit Polyclonal Antibody (PE) [orb505677]
IF
Bovine, Human, Porcine, Rabbit
Mouse, Rat
Rabbit
Polyclonal
PE
100 μlPhospho-MEK1 (Thr286) Rabbit Polyclonal Antibody (Biotin) [orb501449]
IF, IHC-Fr, IHC-P
Bovine, Human, Porcine, Rabbit
Mouse, Rat
Rabbit
Polyclonal
Biotin
100 μlPhospho-MEK1 (Thr286) Rabbit Polyclonal Antibody (HRP) [orb504126]
IHC-Fr, IHC-P
Bovine, Human, Porcine, Rabbit
Mouse, Rat
Rabbit
Polyclonal
HRP
100 μl

Quality Guarantee
Explore bioreagents carefree to elevate your research. All our products are rigorously tested for performance. If a product does not perform as described on its datasheet, our scientific support team will provide expert troubleshooting, a prompt replacement, or a refund. For full details, please see our Terms & Conditions and Buying Guide. Contact us at support@biorbyt.com.

Detection of human Phospho-MEK1 (T286) by immunoprecipitation (IP). Samples: 50 µg HeLa whole cell lysate (WCL) from mock treated (-) or nocodazole treated (+) cells. 1 mg of HeLa WCL mock treated (-) or nocodazole treated (+) and immunoprecipitated; 20% of the IP was loaded. Antibodies: Affinity purified rabbit anti-phospho MEK1 (T286) orb1524513 was used for IP (6ug/1mg lysate). To detect total MEK1, Rabbit anti-MEK1 was used for western blot (WB) at 1 µg/ml.

Detection of mouse Phospho-MEK1 (T286) by immunohistochemistry.Sample: FFPE section of mouse renal cell carcinoma. Antibody: Affinity purified rabbit anti-phospho MEK1 (T286) (Cat. No. orb1524513) used at a dilution of 1: 1, 000 (1µg/ml). Detection: DAB

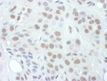
Detection of human Phospho-MEK1 (T286) by immunohistochemistry.Sample: FFPE section of human breast carcinoma. Antibody: Affinity purified rabbit anti-phospho MEK1 (T286) (Cat. No. orb1524513) used at a dilution of 1: 5, 000 (0.2µg/ml). Detection: DAB
Quick Database Links
UniProt Details
−NCBI Reference Sequences
−| Protein | NP_002746.1 |
|---|
Documents Download
Request a Document
Protocol Information
Rabbit Phospho MEK1(T286) Antibody (orb1524513)
Participating in our Biorbyt product reviews program enables you to support fellow scientists by sharing your firsthand experience with our products.
Login to Submit a Review

