You have no items in your shopping cart.
Rabbit Phospho Rad17 (S645) Antibody
Description
Research Area
Images & Validation
−| Tested Applications | IHC, WB |
|---|---|
| Dilution Range | WB - 1:1,000 - 1:5,000; IHC - 1:500 - 1:2,000. Epitope retrieval with citrate buffer pH 6.0 is recommended for FFPE tissue sections. |
| Reactivity | Human, Mouse |
| Application Notes |
Key Properties
−| Antibody Type | Primary Antibody |
|---|---|
| Host | Rabbit |
| Clonality | Polyclonal |
| Isotype | IgG |
| Immunogen | Surrounding serine 645 |
| Target | Rad17 Phospho (S645) |
| Purification | Antigen Affinity Purified |
| Conjugation | Unconjugated |
Storage & Handling
−| Storage | 2 - 8°C |
|---|---|
| Form/Appearance | Liquid |
| Buffer/Preservatives | Tris-citrate/phosphate buffer, pH 7 to 8 containing 0.09% Sodium Azide |
| Concentration | 1000 µg/ml |
| Expiration Date | 12 months from date of receipt. |
| Disclaimer | For research use only |
Alternative Names
−
Quality Guarantee
Explore bioreagents carefree to elevate your research. All our products are rigorously tested for performance. If a product does not perform as described on its datasheet, our scientific support team will provide expert troubleshooting, a prompt replacement, or a refund. For full details, please see our Terms & Conditions and Buying Guide. Contact us at support@biorbyt.com.

Detection of human Rad17, Phospho (S645) by western blot.Samples: HeLa and HEK293T cells treated with 100 µM etoposide for 2 hours (+) or mock treated (-) cells. Antibodies: Affinity purified rabbit anti-Rad17, Phospho (S645) antibody at 0.4 µg/ml.

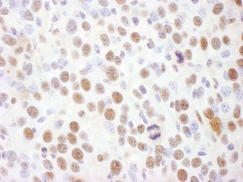
Detection of human Phospho Rad17 (S645) by immunohistochemistry. Sample: FFPE section of human colon carcinoma. Antibody: Affinity purified rabbit anti-Phospho Rad17 (S645) used at a dilution of 1:1, 000 (1µg/ml).

Detection of mouse Phospho Rad17 (S645) by immunohistochemistry. Sample: FFPE section of mouse renal cell carcinoma. Antibody: Affinity purified rabbit anti-Phospho Rad17 (S645) used at a dilution of 1:1, 000 (1µg/ml).
Quick Database Links
UniProt Details
−NCBI Reference Sequences
−| Protein | NP_579918.1 |
|---|
Documents Download
Request a Document
Protocol Information
Rabbit Phospho Rad17 (S645) Antibody (orb1530616)
Participating in our Biorbyt product reviews program enables you to support fellow scientists by sharing your firsthand experience with our products.
Login to Submit a Review