You have no items in your shopping cart.
RBBP8 Antibody
SKU: orb674343
Description
Research Area
Epigenetics & Chromatin
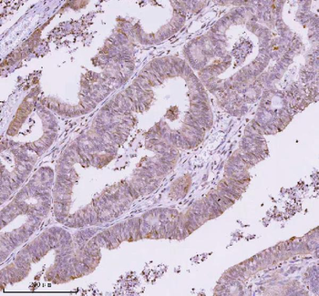
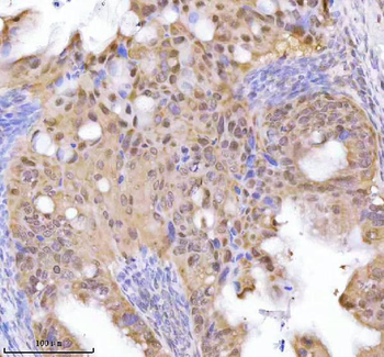
Images & Validation
−
| Tested Applications | ELISA, IHC |
|---|---|
| Dilution Range | IHC-P: 1:100-1:300, ELISA: 1:5000 |
| Reactivity | Human, Mouse |
Key Properties
−| Host | Rabbit |
|---|---|
| Clonality | Polyclonal |
| Isotype | IgG |
| Immunogen | Synthesized peptide derived from Human CtIP around the non-phosphorylation site of S664. |
| Target | RBBP8 |
| Purification | The antibody was affinity-purified from rabbit antiserum by affinity-chromatography using epitope-specific immunogen. |
| Conjugation | Unconjugated |
Storage & Handling
−| Storage | Maintain refrigerated at 2-8°C for up to 2 weeks. For long term storage store at -20°C in small aliquots to prevent freeze-thaw cycles. |
|---|---|
| Form/Appearance | Liquid |
| Buffer/Preservatives | Liquid in PBS containing 50% glycerol, 0.5% rAlbumin and 0.02% sodium azide. |
| Expiration Date | 12 months from date of receipt. |
| Disclaimer | For research use only |
Alternative Names
−Anti-RBBP8 antibody, anti-CTIP antibody, anti-DNA endonuclease RBBP8 antibody, anti-CtBP-interacting protein antibody, anti-CtIP antibody, anti-Retinoblastoma-binding protein 8 antibody, anti-RBBP-8 antibody, anti-Retinoblastoma-interacting protein and myosin-like antibody, anti-RIM antibody, anti-Sporulation in the absence of SPO11 protein 2 homolog antibody, anti-SAE2 antibody
Similar Products
−RBBP8 Rabbit Polyclonal Antibody [orb1939822]
ELISA, FC, ICC, IF, IHC, WB
Human, Mouse
Rabbit
Polyclonal
Unconjugated
100 μgRBBP8 Rabbit Polyclonal Antibody [orb581252]
WB
Bovine, Canine, Equine, Guinea pig, Porcine, Rabbit
Human
Rabbit
Polyclonal
Unconjugated
100 μl

Quality Guarantee
Explore bioreagents carefree to elevate your research. All our products are rigorously tested for performance. If a product does not perform as described on its datasheet, our scientific support team will provide expert troubleshooting, a prompt replacement, or a refund. For full details, please see our Terms & Conditions and Buying Guide. Contact us at support@biorbyt.com.
Quick Database Links
Gene Symbol
RBBP8
UniProt
UniProt Details
− No UniProt data available
Documents Download
Datasheet
Product Information
Request a Document
Protocol Information
IHC
Immunohistochemistry
ELISA
Enzyme-linked Immunosorbent Assay (EIA)
RBBP8 Antibody (orb674343)
Based on 0 reviews
Participating in our Biorbyt product reviews program enables you to support fellow scientists by sharing your firsthand experience with our products.
Login to Submit a Review












